胸隔膜肿瘤

胸壁肿瘤是常见于胸壁皮肤及皮下软组织的良性肿瘤,恶性通常会疼
图片尺寸640x481
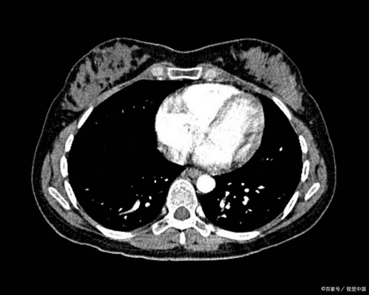
胸闷元凶 | 南通六院胸外科成功切除直径10厘米的巨大纵膈肿瘤
图片尺寸800x600
纵隔肿瘤是胸腔内常见的一类肿瘤,种类繁多,发现尽早切除,微创 - 抖音
图片尺寸1920x1440
41岁男子罹患纵隔肿瘤,病情罕见复杂!
图片尺寸600x450
前后纵隔肿瘤一例
图片尺寸4032x3024
5.15):肺癌术后如惊弓之鸟,我们如何来面对随访中发现的微小实性结节?
图片尺寸1080x1137
胸外科自主完成一例3d打印正劈胸骨入路疑难纵膈肿瘤切除手术
图片尺寸2000x2668
商城县人民医院胸外科实施高难度肿瘤切除手术,助右侧胸壁巨大肿瘤
图片尺寸1080x1441
胸外一王子彤主任主刀成功完整切除一例左侧胸腔巨大肿瘤
图片尺寸3968x2240
72岁 主诉:背部纤维肉瘤纵隔转移 检查:胸部ct:纵隔占位,考虑肿瘤转移
图片尺寸1080x1920
爱美之心——胸科医院巧用机器人微创手术为患者摘除拳头大小胸壁肿瘤
图片尺寸1080x650
今日上午,我院成功开展一例胸腔镜剑突下入路胸腺瘤切除术
图片尺寸4000x3000
胸膜恶性间皮瘤
图片尺寸2000x2667
胸膜恶性间皮瘤
图片尺寸2000x2667
50年巨大胸壁肿瘤今天被切除
图片尺寸600x800
"小"胸腔,"大"肿瘤——我院胸外科完成了92例胸腔镜下纵隔肿瘤切除
图片尺寸835x660
但是肿瘤贴近肺门(肺动脉干)且范围较大,局部切除较为困难,拟行肺叶
图片尺寸4032x3024
前纵隔巨大肿瘤囊性胸腺瘤
图片尺寸1280x959
从早期变晚期,肿瘤穿透胸膜,转移扩散了!
图片尺寸1205x1012
以为是普通感冒,却查出胸腔纵隔内有近10公分巨大肿瘤!
图片尺寸1200x961