脊髓血管造影

脊髓血管造影见肋颈干动脉供血的脊髓动静脉瘘
图片尺寸2197x3022
图3. 脊髓血管造影明确为t5肋间动脉供血的硬脊膜动静脉瘘
图片尺寸1104x1534
马廉亭教授:脊髓血管造影诊断脊髓血管疾病的进展
图片尺寸1000x685
脊髓血管畸形介入栓塞术 ——冀建文
图片尺寸1104x1534
一例正常的脊髓血管造影
图片尺寸964x874
马廉亭教授:脊髓血管造影诊断脊髓血管疾病的进展
图片尺寸640x499
脊髓血管造影显示t8-10节段脊髓动静脉畸形.双侧胸11肋间动脉供血.
图片尺寸1242x1656
复合手术t7脊髓血管畸形切除术……山东大学齐鲁医院神经外科 王东海
图片尺寸1200x1600
完善脊髓血管造影
图片尺寸3106x4096
在磁共振及选择性脊髓血管造影的基础上,结合大体病理所见.
图片尺寸400x300
后循环和脊髓血管造影
图片尺寸960x720
栓塞后造影脊髓动脉显影
图片尺寸1200x1600
neurology:病例:继发于硬脊膜动静脉瘘的脊髓瘘
图片尺寸996x1280
c4脊髓血管畸形栓塞
图片尺寸1234x2576
术中dsa脊髓血管造影.
图片尺寸500x350
一例正常的脊髓血管造影
图片尺寸964x874
马廉亭教授:脊髓血管造影诊断脊髓血管疾病的进展
图片尺寸640x437
可怜的脊髓血管畸形治疗一例
图片尺寸4032x3024
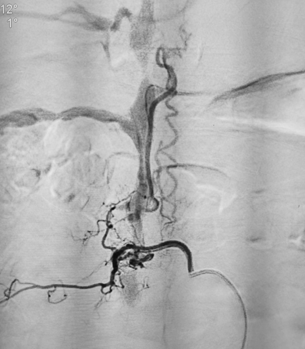
脊髓血管造影,见l1平面双侧根动脉供血高流量动静脉瘘,引流静脉位于
图片尺寸972x1111
左侧尤甚,入院前三天出现四肢无力,后就诊神经内科以脊髓病收入院
图片尺寸1500x2000