脐动脉血流

胎儿脐动脉血流频谱呈单峰有什么特别的意义吗
图片尺寸766x573
脐动脉舒张期血流反向,脐动脉和脐静脉是反映胎盘阻力的重要血管!
图片尺寸2356x2000
单脐动脉
图片尺寸720x576
孕20周后不可忽视的脐动脉
图片尺寸1024x1365
继续说脐动脉血流高被扣住院
图片尺寸1080x1439
单脐动脉
图片尺寸1080x969
脐动脉s/d体现了在心动周期中血流速度变化的振幅,特别是心脏舒张期
图片尺寸2931x1450
胎儿脐动脉血流增高
图片尺寸1080x1439
妇产科医生收藏:超声检查脐带血流有什么临床意义?该如何解读?
图片尺寸606x475
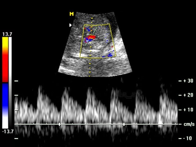
脐动脉血流s/d值(疾病)
图片尺寸640x479
妇产科医生收藏:超声检查脐带血流有什么临床意义?该如何解读?
图片尺寸605x391
单脐动脉的宝宝和妈妈要加油哦
图片尺寸1080x1439
脐动脉血流频谱
图片尺寸1080x810
p>脐血流是指脐动脉收缩期最高血流速度与舒展期最低血流速度的比值
图片尺寸465x376
脐动脉舒张期血流消失或反向
图片尺寸640x438
脐动脉血流数值偏高,怎么办?严重吗?
图片尺寸720x959
脐动脉血流在孕36周以后s/d 2.6 为正常值.s/d 2.2 可耐心等待.
图片尺寸587x205
若脐动脉舒张末期血流消失或反向,提示需要及时干预,应当住院观察甚至
图片尺寸1080x795
脐动脉
图片尺寸640x480
单脐动脉
图片尺寸601x461