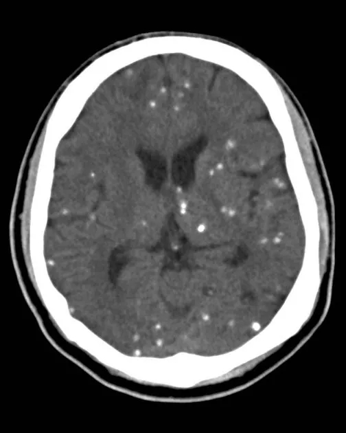
脑囊虫钙化

图解:颅内出现这 7 个部位的钙化属正常
图片尺寸556x604
钙化的脉络膜丛有无移位及根据移位的方向对脑内等密度占位性病变的
图片尺寸640x354![【病例讨论】颅内多发点状钙化灶 [病例帖]](https://i.ecywang.com/upload/1/img2.baidu.com/it/u=2567609486,930028998&fm=253&fmt=auto&app=138&f=JPEG?w=640&h=419)
【病例讨论】颅内多发点状钙化灶 [病例帖]
图片尺寸640x419
同一脑囊虫病患者,图 17(上)见大脑半球多发钙化,图 18(下)t1wi 增强
图片尺寸472x503
同一脑囊虫病患者,图 17(上)见大脑半球多发钙化,图 18(下)t1wi 增强
图片尺寸462x502
什么是脑囊虫病? 武汉科技大学附属普仁医院神经内科讲解脑囊虫病!
图片尺寸448x252
颅内钙化_医学生_医疗健康_医疗健康其他
图片尺寸1080x856
神经影像:颅内钙化之病理篇丨实战读片
图片尺寸1080x552
比松果体和缰联合钙化的几率低,其中以侧脑室脉络丛钙化多见.2.
图片尺寸524x618
34种颅内可以钙化的病变汇总
图片尺寸472x561
常见颅内钙化的影像学征象
图片尺寸910x1016
脑部多发钙化斑
图片尺寸1200x907
常见颅内钙化的影像学征象
图片尺寸640x412
脑囊虫病 特征性的散在的钙化结节,圆形或椭圆形,直径2
图片尺寸516x329
通过检查医生发现,婷婷的大脑里也有囊虫钙化现象.
图片尺寸523x521
脑室内病变四例解析:患者缘何头痛呕吐
图片尺寸640x505
ct均表现为脑实质内多发散在结节样钙化;钙化均可位于双侧侧脑室周围
图片尺寸900x348
囊虫的钙化形态各异,取决于脑囊虫四个主要阶段(也称为escobar的病理
图片尺寸504x630
脑囊虫
图片尺寸3648x2736
头颅ct(见下图):双侧小脑,基底节区,灰白质交界区广泛对称性钙化以及
图片尺寸667x807