脑垂体影像图

位于垂体窝内,借垂体柄,经膈孔与第三脑室底的灰结节连接
图片尺寸1080x1174
垂体是人的内分泌腺体
图片尺寸1080x1511
垂体柄阻断综合征
图片尺寸813x826
垂体核磁影像
图片尺寸1632x1920
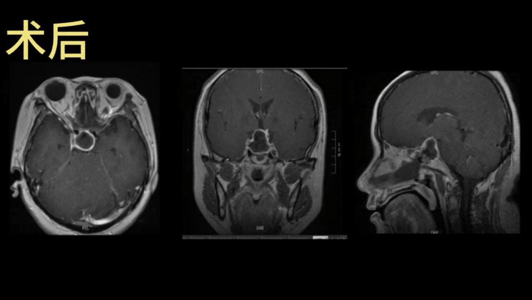
西安医学院一附院多学科联合救治一例复杂垂体瘤卒中患者
图片尺寸1041x1041
脑垂体发育不良是可以治疗的,但需要先做全面检查才能确定具体方案
图片尺寸865x1057
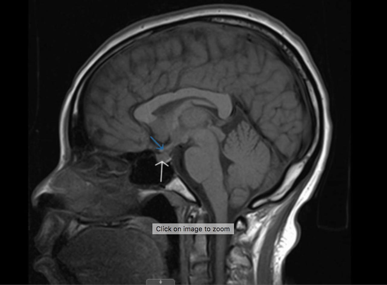
图1 脑mri,矢状切面.白色箭头:垂体;蓝色箭头:垂体柄
图片尺寸1280x944
垂体占位病变影像复习
图片尺寸741x813
垂体核磁影像
图片尺寸1662x1920
视觉通路,垂体,中线结构异常,什么综合征?
图片尺寸483x520
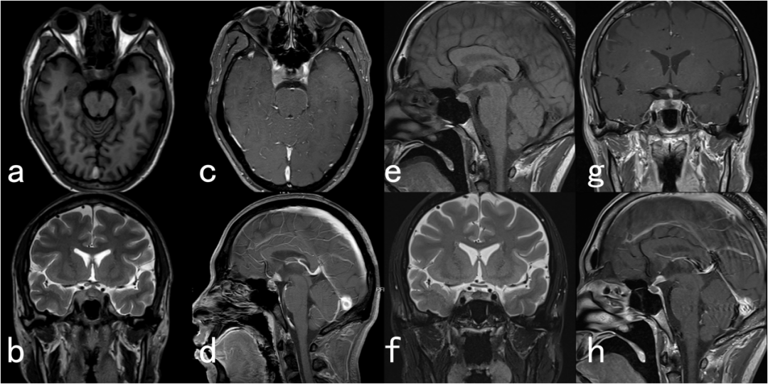
垂体rathke囊肿的影像mri诊断及鉴别要点
图片尺寸884x898
第一次做脑垂体增强核磁共振,体验分享
图片尺寸402x500
崔亚辉副主任医师:下丘脑
图片尺寸1080x540
垂体核磁影像
图片尺寸1126x809
患者,女性,53,头疼头晕半年,本次mri垂体占位
图片尺寸1080x1920
垂体影像检查,选ct还是mri?
图片尺寸610x721
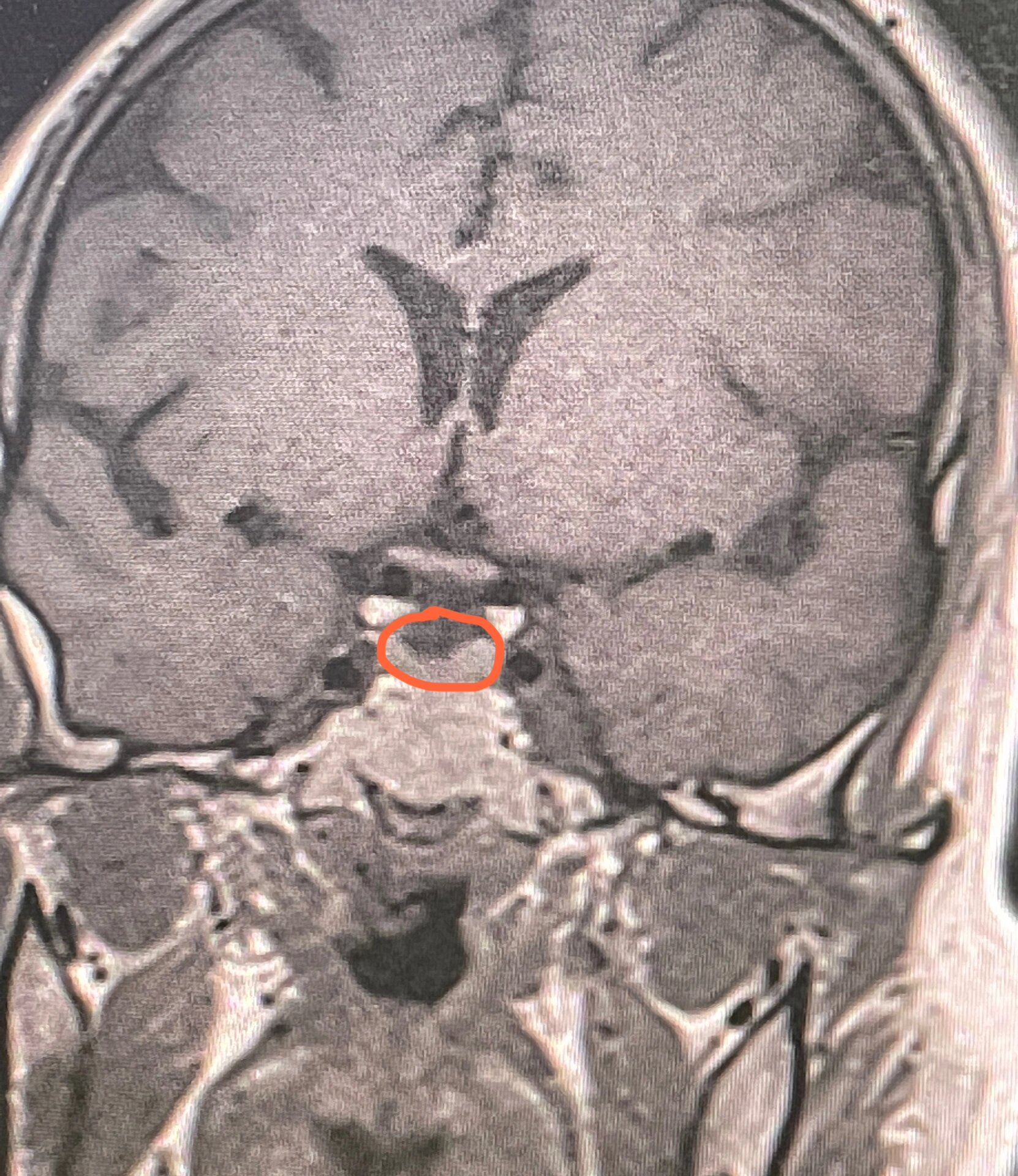
垂体平扫有哪位大神给看一下片子啊
图片尺寸1148x1080
垂体瘤微创手术的核武器神经内镜技术
图片尺寸1080x608
瑞金吴哲褒团队"垂体瘤"手术回顾
图片尺寸1080x1004
「简单明了」垂体瘤分类和治疗方式,1分钟带你看懂!
图片尺寸539x340