脑干ct位置图片

头颅ct断层解剖图片
图片尺寸691x516
必看教程手把手教你看头颅ct
图片尺寸1079x956
读懂头颅ct并不难教你成为读片小能手
图片尺寸1000x839
高血压人群这件事情不能做脑干出血后他追悔莫及
图片尺寸766x395
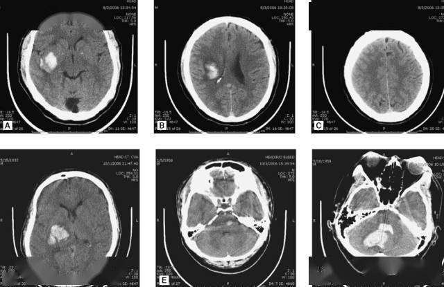
行头颅ct检查提示:脑干出血,量约8ml.
图片尺寸538x635
10张图搞定正常头颅ct断层解剖
图片尺寸960x720
脑干和小脑
图片尺寸1434x810
【推荐】高清大脑断层解剖,脑干及核团分步走形特点
图片尺寸863x712
推荐高清大脑断层解剖脑干及核团分步走形特点
图片尺寸863x572
在这个图片中可以看到脑干小脑急性梗死的表现.
图片尺寸2000x2667
头颅ct解剖定位--------就这么看!
图片尺寸565x1000
脑干脊髓的勾画海马的勾画
图片尺寸640x620
基底节区大量高血压性脑出血,破入脑室及蛛网膜下腔,周围水肿,脑干
图片尺寸640x415
资源ct片的阅读技巧头部
图片尺寸640x490
31岁脑干梗塞后继续恶化,怎么样稳压治疗.
图片尺寸553x420
脑干区常见病变影像表现
图片尺寸1080x810
10种脑干区常见病变影像表现
图片尺寸924x711
2岁脑干海绵状血管瘤患者自述
图片尺寸576x647
影像总结头颅ct基本知识与常见病变
图片尺寸1080x810
脑干区常见病变影像表现
图片尺寸1080x810