脑白质变性

脑白质病变的影像学鉴别诊断
图片尺寸640x796
脑白质病变的影像学鉴别诊断
图片尺寸537x627
弥漫性脑白质病的mri鉴别诊断
图片尺寸2157x1797
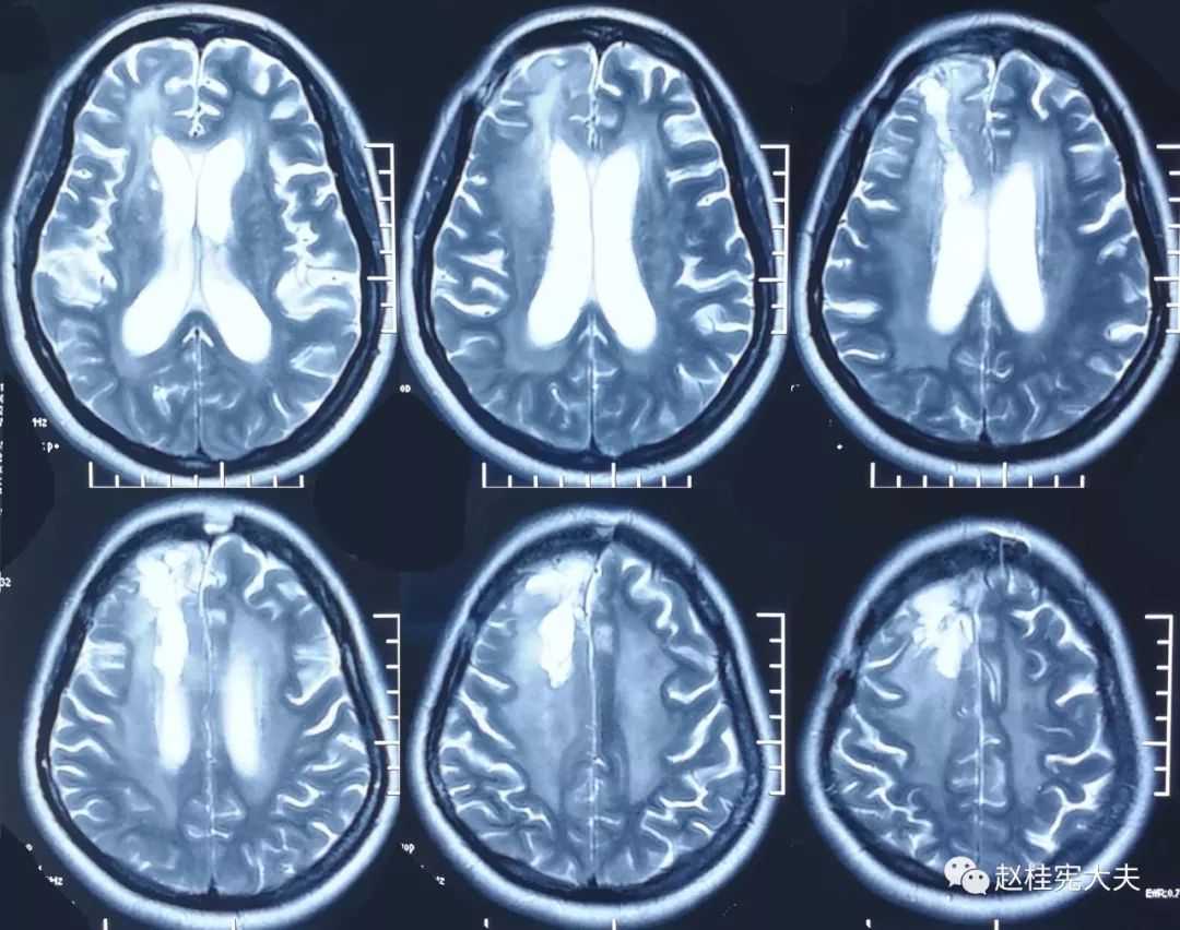
脑白质病变的影像表现与鉴别诊断影像天地
图片尺寸640x360
病情进展较快的脑白质病变.
图片尺寸1520x1949![【影像讨论】不同种类脑白质病变的影像表现,大家猜猜看 [精华]](https://i.ecywang.com/upload/1/img1.baidu.com/it/u=3620484902,2337077290&fm=253&fmt=auto&app=138&f=JPEG?w=500&h=666)
【影像讨论】不同种类脑白质病变的影像表现,大家猜猜看 [精华]
图片尺寸634x845
【求助】女,4岁,病史不祥.
图片尺寸640x856
成人遗传性脑白质病变的诊断思维
图片尺寸1080x810
好货脑白质病变影像诊断
图片尺寸968x637![【病例讨论】请会诊,弥漫性脑白质病变查因 [病例帖]](https://i.ecywang.com/upload/1/img1.baidu.com/it/u=1730446295,139339328&fm=253&fmt=auto&app=138&f=JPEG?w=449&h=657)
【病例讨论】请会诊,弥漫性脑白质病变查因 [病例帖]
图片尺寸449x657![【病例讨论】脑白质多发病变 [病例帖]](https://i.ecywang.com/upload/1/img0.baidu.com/it/u=3784273877,2252679376&fm=253&fmt=auto&app=138&f=JPEG?w=500&h=375)
【病例讨论】脑白质多发病变 [病例帖]
图片尺寸3264x2448
脑白质病变ppt
图片尺寸1080x810![【病例讨论】ct表现为稍高密度的脑白质病变,性质? [病例帖]](https://i.ecywang.com/upload/1/img2.baidu.com/it/u=1779139562,667677109&fm=253&fmt=auto&app=138&f=JPEG?w=500&h=304)
【病例讨论】ct表现为稍高密度的脑白质病变,性质? [病例帖]
图片尺寸2451x1491
影像基础脑白质病变fazekas分级
图片尺寸607x460
病例学习胼胝体及胼胝体外对称性白质病变
图片尺寸1080x924
脑白质病变系列放射性脑损伤
图片尺寸1080x852
成人遗传性脑白质病变的诊断思维
图片尺寸1080x810
神经磁共振学习班脑白质病变辅导课
图片尺寸1280x720
脑白质病变脑炎脱髓鞘
图片尺寸3120x4160
可逆性后部白质脑病临床诊疗 10 大要点_医学资讯_大夫e站
图片尺寸584x614