脑白质疏松ct

mri报告中的脱髓鞘与脑白质疏松诊断的辨析
图片尺寸2398x1265
双侧基底节区,半卵圆中心多发脑白质疏松
图片尺寸530x445
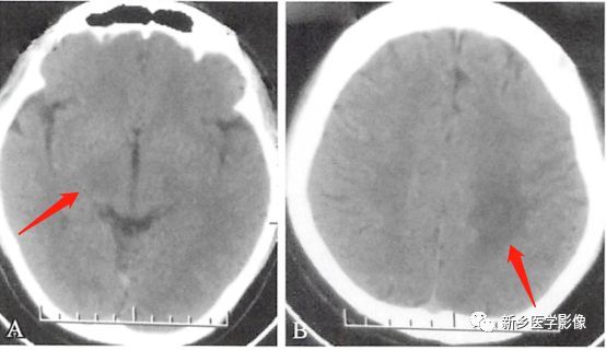
3种常见脑白质病ct表现
图片尺寸554x320
3种常见脑白质病ct表现
图片尺寸297x339
脑白质疏松症的诊断和鉴别诊断
图片尺寸640x1078
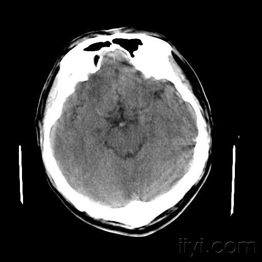
跟踪病例co中毒近远期脑改变脑白质疏松症
图片尺寸512x512
mri报告中的脱髓鞘与脑白质疏松诊断的辨析
图片尺寸3241x2246
脑白质疏松症ppt
图片尺寸800x600
跟踪病例co中毒近远期脑改变脑白质疏松症
图片尺寸512x512
脑白质疏松症
图片尺寸960x720
脑白质疏松症
图片尺寸960x720
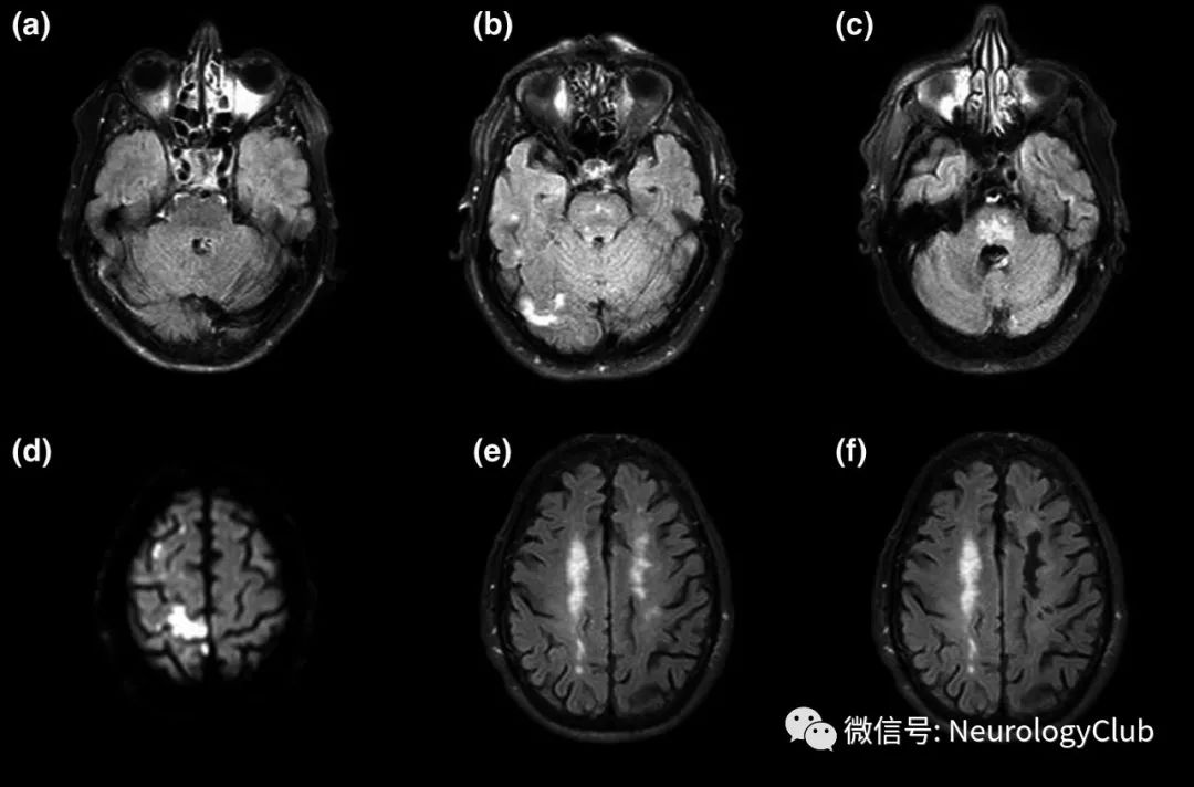
是否可以诊断闹白质疏松症和腔梗
图片尺寸1536x2048![【影像讨论】不同种类脑白质病变的影像表现,大家猜猜看 [精华]](https://i.ecywang.com/upload/1/img2.baidu.com/it/u=1990795528,918090426&fm=253&fmt=auto&app=138&f=JPEG?w=539&h=500)
【影像讨论】不同种类脑白质病变的影像表现,大家猜猜看 [精华]
图片尺寸911x845
神经研究脑干白质疏松可独立预测缺血性卒中的不良预后
图片尺寸1080x712
脑白质疏松的诊断意味着什么可以用药物治疗吗
图片尺寸1080x442
图4:陈旧性脑梗死头颅ct和mri影像脑白质疏松与其他脑小血管病的影像
图片尺寸980x523
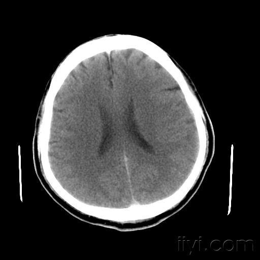
跟踪病例co中毒近远期脑改变脑白质疏松症
图片尺寸512x512
ppt脑白质疏松症
图片尺寸960x720![【影像讨论】不同种类脑白质病变的影像表现,大家猜猜看 [精华]](https://i.ecywang.com/upload/1/img1.baidu.com/it/u=3620484902,2337077290&fm=253&fmt=auto&app=138&f=JPEG?w=500&h=666)
【影像讨论】不同种类脑白质病变的影像表现,大家猜猜看 [精华]
图片尺寸634x845
头颅ct提示多发梗塞.(脑白质疏松)
图片尺寸1080x1449