脑肿瘤ct报告单

邱先生的ct检查报告单"给叶某的钱是我工作这些年的积蓄,此外我昏借
图片尺寸805x1096
11月29日,萱萱在常州市第一人民医院被查出患有脑肿瘤.
图片尺寸550x751
左侧瘤ct测成右侧郑大一附院回应乌龙检查正调查
图片尺寸600x897
新宁73岁老母亲突患脑动脉瘤花光家里所有积蓄还是家中主要经济支柱
图片尺寸960x2127
心疼!即墨13岁初中生患脑癌,家人欲卖房救子
图片尺寸448x596
协和医院ct报告意见为新冠肺炎,尿毒症肺炎待排,请结合临床及核酸检测
图片尺寸615x607
在那,阳阳接受了脑电图,脑部核磁共振,腿部肌电图以及腿部核磁共振等
图片尺寸500x593
图1.胸部ct报告.图2.胸部增强ct.
图片尺寸1274x1189
经ct检查诊断为肿瘤复发且为双侧窦旁脑膜瘤.
图片尺寸500x237
西安市一院神外血管组介入病例系列9轻症脑血管闭塞
图片尺寸750x414
会议报道2022年4月期深圳二院疑难脑胶质瘤mdt简报
图片尺寸1080x601
市筠连县农村,2011年,正在读高二时就查出患上了脑癌的小伙子谢正强
图片尺寸640x331
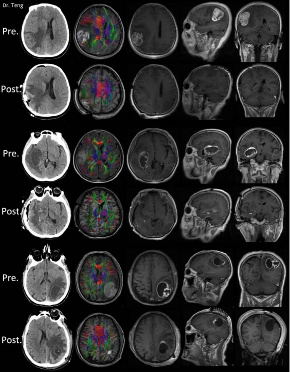
术前核磁显示的脑部巨大肿瘤,术后复查脑部巨大肿瘤已经全部切除.
图片尺寸576x292
严先生的脑部ct片
图片尺寸400x400
图2.李大爷手术前双侧剂量颅脑增强核磁报告.
图片尺寸1536x1095
ct筛查发现大脑内左侧顶叶功能区肿瘤.
图片尺寸577x740
抗癌又添"新利器"!滨医附院多模态肿瘤治疗系统开启临床应用
图片尺寸900x657
通过ct确认的脑部肿瘤.图片来源:wikipedia
图片尺寸499x599
会议报道2022年4月期深圳二院疑难脑胶质瘤mdt简报
图片尺寸1080x601
新闻中心 娱乐新闻 近日有报道称,关之琳1994年查出患有脑垂体肿瘤
图片尺寸500x684