脑脓肿ct图片

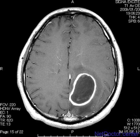
【病例】脑脓肿1例ct及mr影像表现
图片尺寸720x570
脑脓肿
图片尺寸474x464![【病例讨论】又一例环状强化,结果公布:脑脓肿 [病例帖]](https://i.ecywang.com/upload/1/img1.baidu.com/it/u=2948631264,2543635335&fm=253&fmt=auto&app=138&f=JPEG?w=762&h=500)
【病例讨论】又一例环状强化,结果公布:脑脓肿 [病例帖]
图片尺寸1288x845
"套环征"在脑脓肿诊断中的意义_病理_扫描_低密度
图片尺寸1080x976
脑脓肿能治好吗?
图片尺寸3874x2248
影像病理颅内感染性疾病急性化脓性脑膜炎化脓性脑脓肿
图片尺寸857x506
脑脓肿
图片尺寸2667x2000
急,看看是否脑脓肿,少见
图片尺寸1944x2592
外院钻孔术后感染,脑脓肿待排一例
图片尺寸2448x3264
脑脓肿的临床表现
图片尺寸412x258
急诊科的值班医师迅速为涛哥安排了相关检查,ct显示,涛哥右侧大脑里的
图片尺寸1080x810
神经外科3dslicer精准定位穿刺治疗脑脓肿
图片尺寸2000x2667
【病例】肺动静脉瘘引起反复发作脑脓肿1例ct及mr
图片尺寸1024x685
ct薄层扫描,避开大血管及重要功能区选择合适穿刺定位点,测算脑脓肿
图片尺寸1007x599
外院钻孔术后感染,脑脓肿待排一例
图片尺寸2986x1302
对于深部"脑脓肿"立体定向穿刺诊疗意义
图片尺寸1917x1721
外院钻孔术后感染,脑脓肿待排一例
图片尺寸2254x1483
这个ct是脑脓肿
图片尺寸600x450
关于"脑脓肿"病人46岁,女,是我3天前做过的"脑脓肿"急诊 - 抖音
图片尺寸1919x1217
重度颅脑外伤
图片尺寸2667x2000