脑ct片子 头颅

头部ct示排除颅内出血
图片尺寸828x922
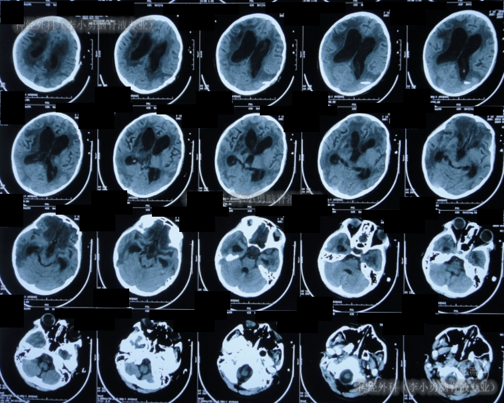
82岁脑出血后脑积水,北京某脑科医院治反致感染后19个月仍走路不稳
图片尺寸926x994
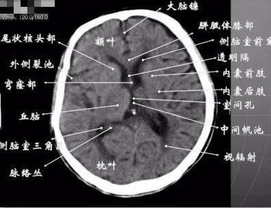
收藏!超详细的头部ct读片详解
图片尺寸1080x648
59岁男性患者,突发动脉瘤破裂出血1小时余, hunt
图片尺寸2736x3648
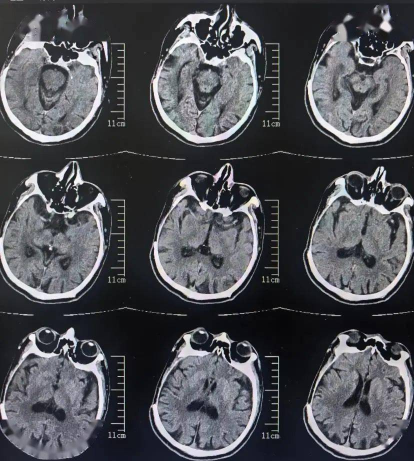
图-9:2018年1月11日头颅ct住院后9天即2018年1月17日,引流出淡黄色
图片尺寸556x655
7月31日拔除引流管,8月1日ct如下:7月28日ct,引流减少,夹闭引流管
图片尺寸1080x1439
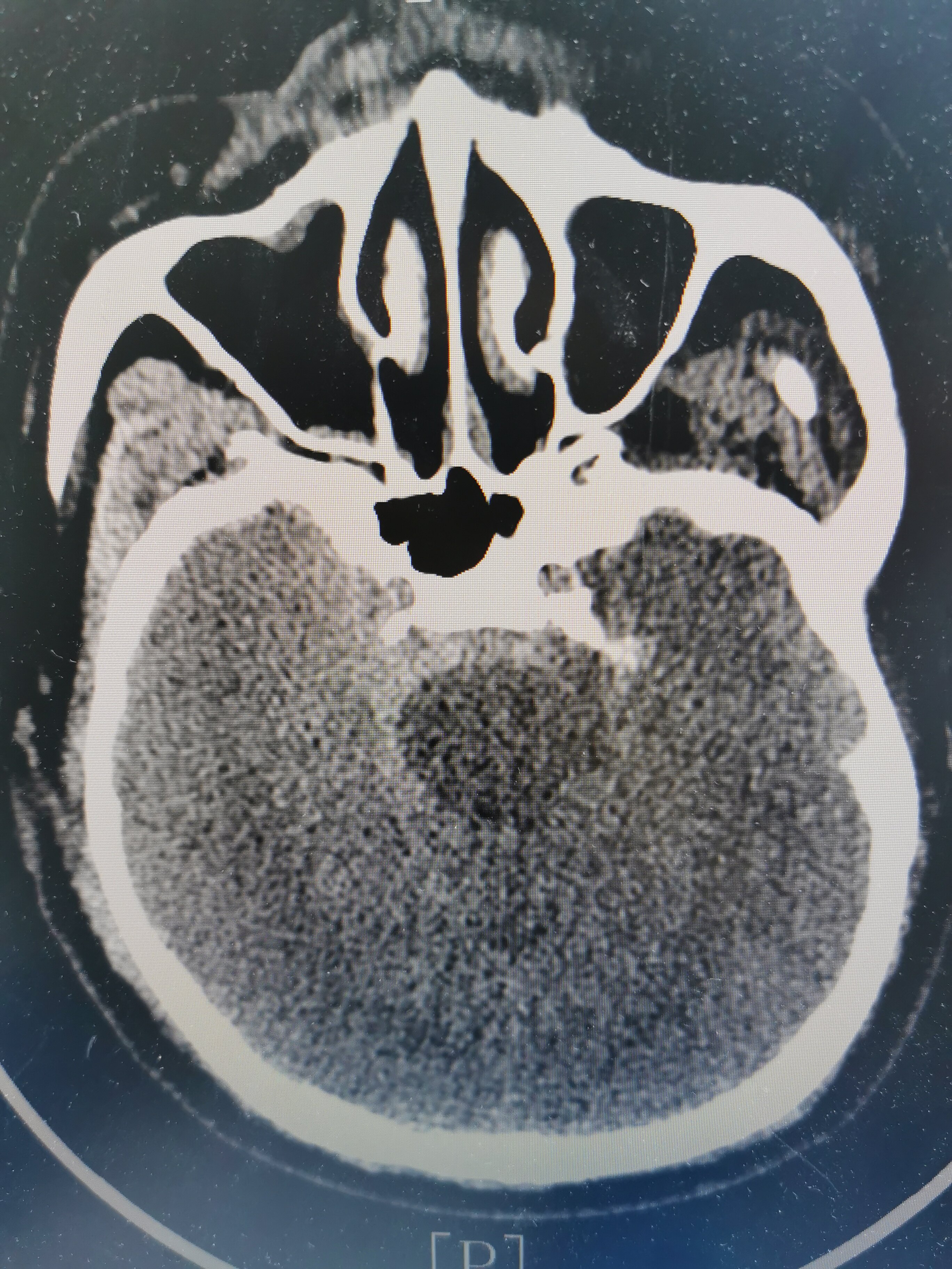
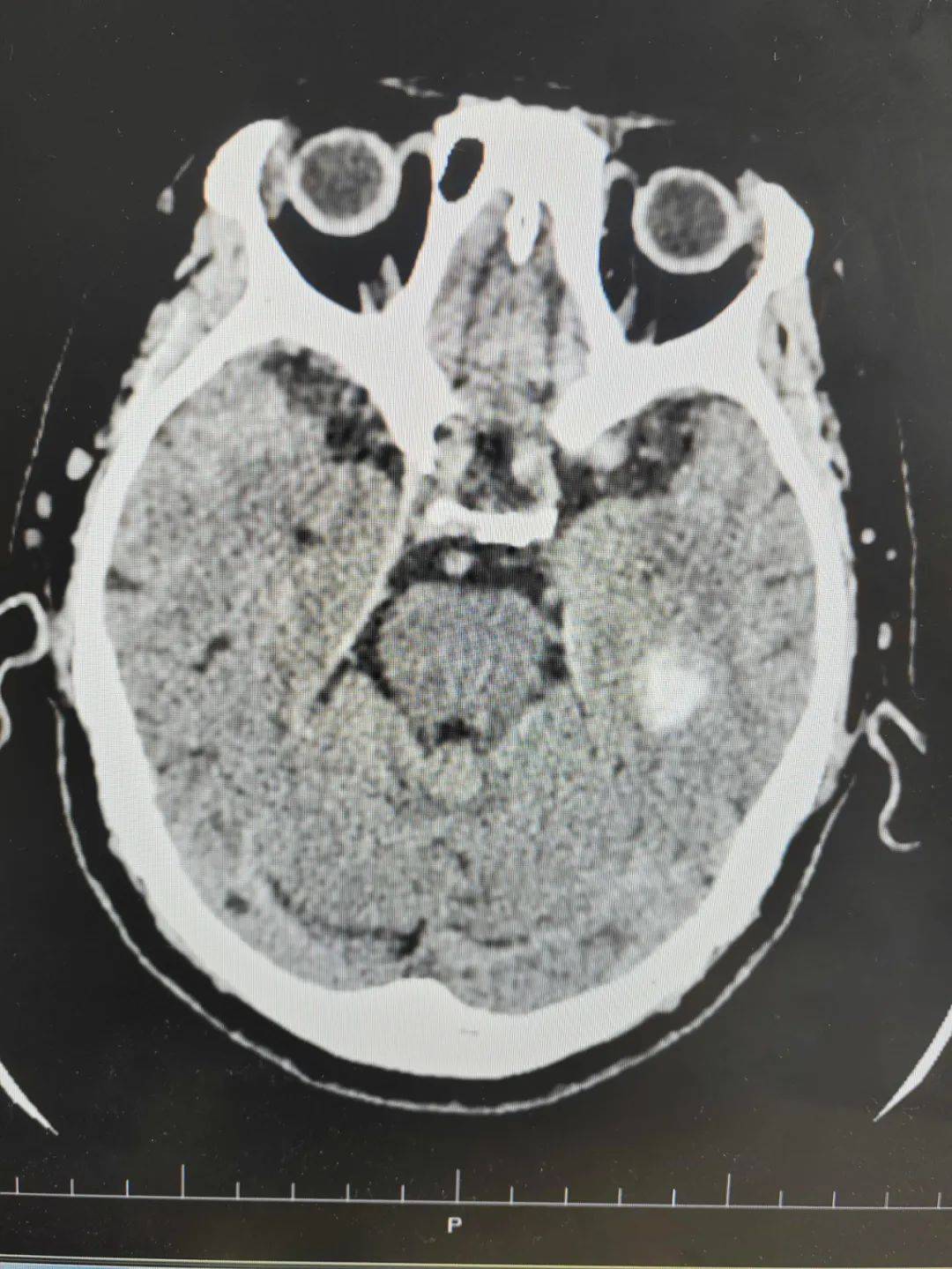
急送至安徽省某三甲医院,查头颅ct示蛛网膜下腔出血
图片尺寸1080x948
健康生活|颅脑ct
图片尺寸1080x1439
入院时头颅ct示双侧额顶枕叶及颞叶脑损伤,脑室系统扩张,内见点片状
图片尺寸995x796
图-6:2024年10月19日头颅ct入院时头颅ct示双侧额顶枕叶及颞叶脑损伤
图片尺寸997x801
图-6:2021年1月17日头颅ct脑室外引流5天即2021年1月17日,查头颅ct时
图片尺寸1080x802
图片尺寸1188x938
图片尺寸984x771
图片尺寸982x976
图片尺寸751x612
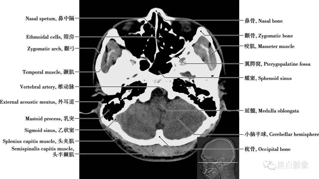
ct入门颅脑ct精美解剖详细标注
图片尺寸396x304
详细颅脑ct正常解剖图谱,带标注,值得收藏!
图片尺寸1080x608
收藏超详细的头部ct读片详解
图片尺寸640x666
图-9:2022年4月1日头颅ct脑室腹腔分流术后4天即2022年4月1日,查头颅
图片尺寸892x770
图片尺寸643x513