腓骨骨骺

10个家长9个都不明白,骨骺线到底是什么,做好5点能多长10公分_孩子
图片尺寸900x1091
一例 儿童 胫腓骨远端 骨骺损伤 ,大家看看
图片尺寸2832x2920
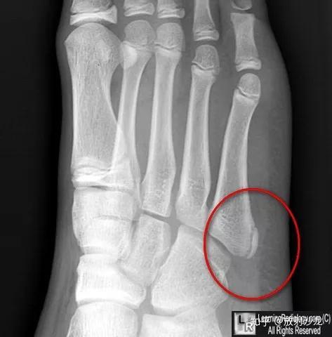
正常儿童骨骼解剖 -右第五跖骨基底部骨骺误为骨折
图片尺寸1080x810
伤后116天,拍片显示:右胫腓骨远端对位对线良好,内侧骺板处仍有缺损
图片尺寸750x873
胫腓骨正位【x线解剖图】
图片尺寸512x646
股骨 下肢 髌骨 胫骨 腓骨 跗骨 趾骨
图片尺寸1080x810
骨骺内多发骨化中心造成的,常表现为外缘光滑,边界清晰
图片尺寸473x480
1股骨 髌骨:2胫骨 腓骨:3跗骨 跖骨 耻骨:常见腿型:01正常腿型五处
图片尺寸640x797
老祖宗发明的,在清朝乾隆年间的《医宗金鉴》就有胫骨和腓骨这个词了
图片尺寸690x653
12岁儿童胫骨远端三平面骨骺骨折
图片尺寸1000x816
女,骨骺线隐约可见,右外踝软组织明显肿胀,侧位片外踝隐约可见斜形
图片尺寸606x655
左足扭伤
图片尺寸1052x780
副骨骺(accessory epiphysis).
图片尺寸640x753
ao 患者,男,17岁,右胫腓骨骨折, 采用4.5mm干骺端锁定钢板固定
图片尺寸1080x810
小腿骨(胫腓骨)解剖图谱
图片尺寸1080x1058
胫腓骨骨折术后康复训练小腿胫腓骨骨折术后功能康复恢复锻炼方法流程
图片尺寸820x1288
骨骺闭合示意图临床上诸多对儿童骨折的误诊,误治,大多正是由于
图片尺寸1063x350
一例只有青少年才会有的骨折
图片尺寸640x753
医学界的神秘行当曝光高薪难求竟是因为
图片尺寸600x636
胫骨和腓骨膝,小腿和足的动脉股部和膝的动脉:示意图
图片尺寸972x1135