腹膜后肿瘤

腹膜后巨大肿瘤的三次诊治过程 - 好大夫在线
图片尺寸497x677
近日成功完成2例3d腹腔镜下腹膜后肿瘤手术 - 好大夫在线
图片尺寸1080x810
腹腔镜特殊部位腹膜后肿瘤切除术 - 好大夫在线
图片尺寸610x434
一例巨大腹膜后肿瘤合并自发性破裂大出血的患者获得成功救治 (原创)
图片尺寸1488x1080
拆弹专家:"奔驰切口"解决复杂腹膜后肿瘤.左肾上腺区巨大恶性 - 抖音
图片尺寸1276x1702
腹膜后肿瘤_腹膜后肿瘤 - 好大夫在线
图片尺寸800x600
一例腹膜后巨大肿瘤患者南阳胸科医院
图片尺寸1080x810
一例巨大腹膜后肿瘤合并自发性破裂大出血的患者获得成功救治 (原创)
图片尺寸1478x1053
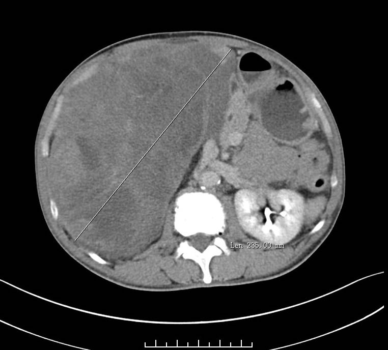
术前ct检查提示,老人体内有巨大的腹膜后肿瘤.
图片尺寸762x688
【正版】腹膜后肿瘤 人民卫生出版社9787117167024
图片尺寸800x800
哈医大一院群力多学科专家联手完整切除罕见30厘米腹膜后巨大肿瘤
图片尺寸550x425
成功救治一例腹膜后巨大肿瘤患者 - 好大夫在线
图片尺寸1265x949
成功切除如此巨大的腹膜后肿瘤!整个腹部通天口! - 好大夫在线
图片尺寸888x500
病例(26)--左侧腹膜后巨大肿瘤切除 - 好大夫在线
图片尺寸1600x1200
我院完成一例腹膜后巨大肿瘤切除术
图片尺寸1984x3968
王和鑫主任成功切除腹膜后巨大肿瘤湛江中心人民医院
图片尺寸3024x4032
高难度巨大腹膜后肿瘤一例成功完成
图片尺寸780x1040
成功切除如此巨大的腹膜后肿瘤!整个腹部通天口! - 好大夫在线
图片尺寸960x1280
禁区排雷哈医大一院群力普外一科半月内成功切除两例罕见腹膜后肿瘤
图片尺寸550x404
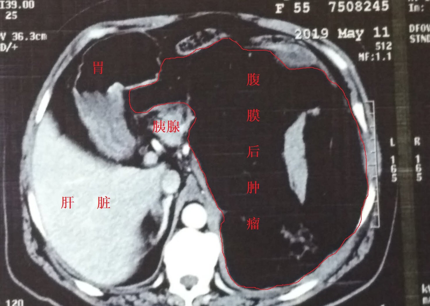
腹膜后肿瘤的诊断及鉴别诊断(二)
图片尺寸2000x2667