腿骨折病例

复出1个月就遭重创张国伟晒病例练太猛骨折了
图片尺寸520x764
腿被踢骨折的黄先生在诉说事情经过.黄先生的病例.
图片尺寸300x425
粉碎性骨折写成骨折 骨伤医院坚称没错拒改病例
图片尺寸375x500
跟骨骨折病例分享 (原创)_手术
图片尺寸1242x2208
跟骨骨折病例分享 (原创)_手术
图片尺寸1242x2208
粉碎性骨折女子上瑜伽私教课被教练压断大腿
图片尺寸561x700
李女士初步诊断病例
图片尺寸2736x3650
病例2:高空坠地,双侧踝关节骨折
图片尺寸1080x1440
粉碎性骨折写成骨折 骨伤医院坚称没错拒改病例
图片尺寸355x500
粉碎性骨折写成骨折 骨伤医院坚称没错拒改病例
图片尺寸392x500
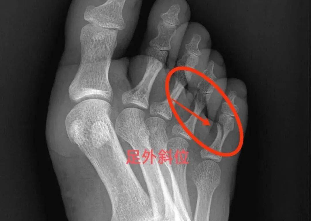
阅片时"马赫带效应"引起的常见误诊_病例_箭头_分界
图片尺寸1080x767
医院病例显示,周召的胸骨和肋骨都出现骨折
图片尺寸400x265
6岁被虐女童伤情鉴定9根肋骨骨折右大腿扎入3枚5厘米钢针
图片尺寸650x550
75病例资料中出现不一致的情况 
图片尺寸550x487
古蔺这些医生护士被"点名"了!_患者_血肿_医疗
图片尺寸1080x582
骨盆髋臼骨折病例3_infix
图片尺寸3968x2976
太神奇了新英格兰病例报道股骨头骨折坠入阴囊
图片尺寸430x485
典型病例-3(右手第三,四,五掌骨头骨折)
图片尺寸707x781
病例2:高空坠地,双侧踝关节骨折
图片尺寸1080x810
骨质疏松压缩性骨折病例分享 (转载)_乐群
图片尺寸678x485