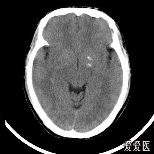
苍白球钙化

苍白球与尾状核可钙化,高龄者易出现,尤以 40 岁以后出现苍白球钙化多
图片尺寸556x604
正常脑ct {b}. 苍白球钙化 {c}. 腔隙性脑梗死 {d}. 脑出血 {e}.
图片尺寸297x324
苍白球钙化的影像表现
图片尺寸826x296
图解:颅内出现这 7 个部位的钙化属正常
图片尺寸590x620
颅内生理性钙化不要紧这6种情况要注意
图片尺寸560x318
苍白球钙化
图片尺寸512x512
苍白球钙化的影像表现
图片尺寸827x596
苍白球钙化的影像表现
图片尺寸465x549
27的ct片;想大家帮帮忙,2002年的ct片是双侧苍白球钙化,2009年发展为
图片尺寸480x360
苍白球钙化的影像表现
图片尺寸813x293
图解:颅内出现这 7 个部位的钙化属正常
图片尺寸524x618
苍白球钙化的影像表现
图片尺寸665x238
常见颅内钙化的影像学征象
图片尺寸910x1016
34种颅内可以钙化的病变汇总
图片尺寸472x561
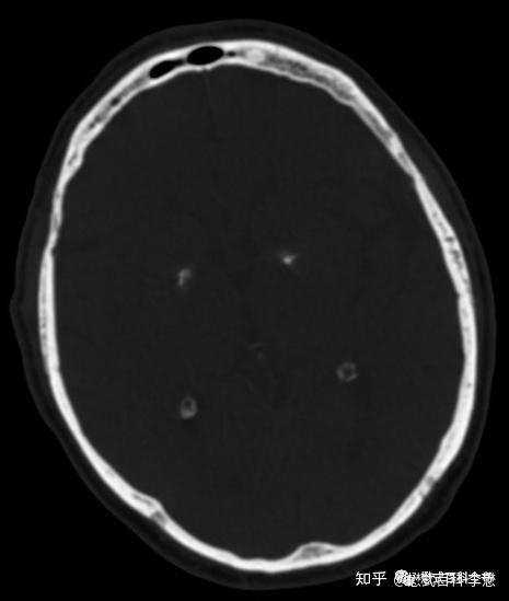
11. 可见双侧尾状核,苍白球及皮层下白质对称性高密度影
图片尺寸610x678
苍白球钙化的影像表现
图片尺寸701x426
钙化,转移性钙化病理性钙化右侧尾状核头钙化,呈结节状双侧苍白球钙化
图片尺寸832x624
见于琥珀酸半醛脱氢酶缺乏症的对称性苍白球异常
图片尺寸1280x960
双侧基底节钙化,如何诊断?
图片尺寸507x618
ct后建议做mr进一步了解 左侧苍白球钙化可能 严重吗?
图片尺寸1024x768