虎牙埋伏牙

正畸分享|虎牙埋伏牙
图片尺寸2480x1280
想知道虎牙埋伏牙牵引还是拔出好?牵引的成功率大吗?
图片尺寸500x369
孩子埋伏的虎牙长不出来,看看牙医会怎么做#虎牙#正畸#儿童口腔#手术
图片尺寸439x330
正畸分享|虎牙埋伏牙
图片尺寸1291x731
埋伏虎牙矫正方法
图片尺寸576x768
埋伏虎牙案例讲解什么样的埋伏牙需要拔除
图片尺寸1080x1440
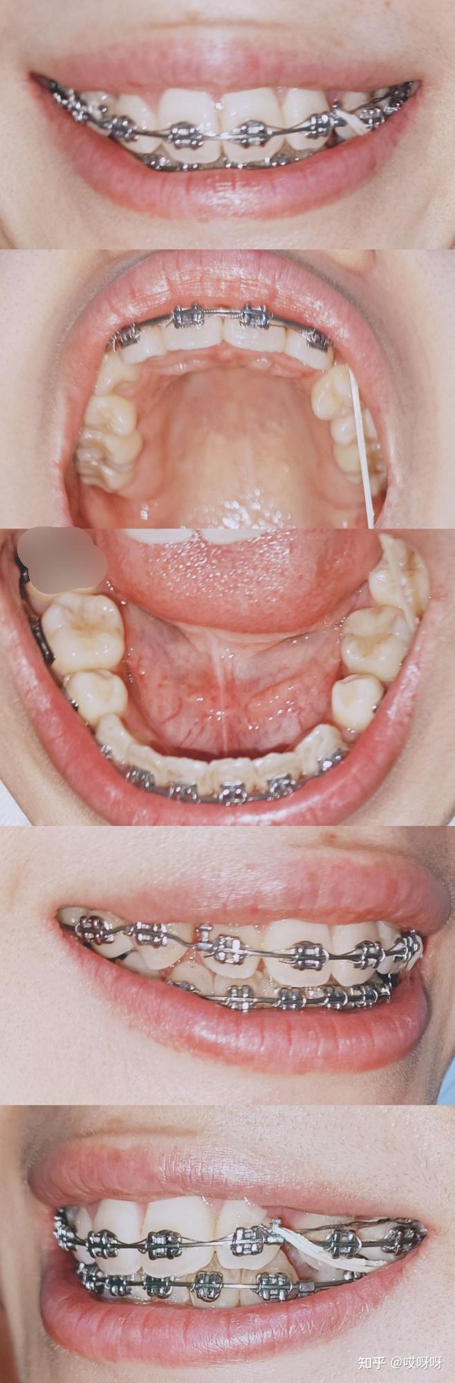
正畸分享|虎牙埋伏牙 - 知乎
图片尺寸658x1999
虎牙矫正需要拔牙吗?看完你就明白了
图片尺寸720x1280
救…埋伏牙,还是虎牙,终于解决了!
图片尺寸858x514
虎牙埋伏牙,拔出还是牵引?
图片尺寸1440x1920
正畸分享虎牙埋伏牙
图片尺寸1365x2048
埋伏牙
图片尺寸1280x667
虎牙长不出——埋伏虎牙的矫正
图片尺寸610x453
由于其牙冠大,牙根长,所以当它突出支起嘴唇时就显得特别难看,因而
图片尺寸316x402
正畸分享|虎牙埋伏牙
图片尺寸720x1101
埋伏虎牙要不要处理会对其他牙造成危害吗
图片尺寸1200x1600
拔牙记 #埋伏牙拔除 #手术顺利 快过年发现牙齿长个包, - 抖音
图片尺寸1440x2560
正畸分享|虎牙埋伏牙
图片尺寸1299x1152
很多朋友都在询问的就是自己存在一颗埋伏的尖牙没有长出来,不知道
图片尺寸1200x1600
正畸分享|虎牙埋伏牙
图片尺寸2448x1546