虫牙什么样

龋齿(蛀牙)能严重到什么地步?
图片尺寸2887x2376
一口龋齿是什么样的体验?
图片尺寸720x960
得了蛀牙要注意什么?这些事项不能忘
图片尺寸500x307
如果虫牙一直不去治疗,会有什么样的后果?
图片尺寸600x400
乳牙龋齿,什么样的蛀牙用hall ?什么样的蛀牙可 - 抖音
图片尺寸1886x1258
龋齿是什么样子的图片_图文_文章_美咯_让您放心美!
图片尺寸625x417
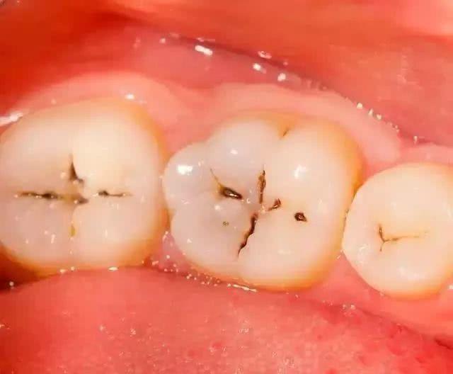
牙上的黑点到底是什么?不疼就不用治?变成黑洞后疼到你难以想象
图片尺寸697x472
虫牙图片
图片尺寸400x300
治疗虫牙一颗多少钱(蛀牙不补) - 价格百科
图片尺寸1078x850
龋齿开始有什么症状
图片尺寸500x307
什么是蛀牙图片 什么是蛀牙图片小孩
图片尺寸500x667
蛀牙洞里面是啥样的,你见过吗?_哔哩哔哩_bilibili
图片尺寸1728x1080
小小蛀牙,会引发哪些后果?
图片尺寸400x300
牙上的黑点到底是什么?不疼就不用治?变成黑洞后疼到你难以想象
图片尺寸640x528
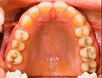
长龋齿了 马上要去看 先想问一下这个是什么程度的龋齿,谢谢!
图片尺寸527x800
深圳补牙蛀牙没有及时补牙会有什么后果呢
图片尺寸500x333
龋齿也就是我们平时说的虫牙或者蛀牙.
图片尺寸640x360
四,牙齿蛀牙简介是什么
图片尺寸400x300
牙齿上刷不掉的黑线是什么?是蛀牙吗?
图片尺寸792x607
孩子有龋齿可以先不治疗等换牙后自然就会好吗
图片尺寸640x480