虫牙哺乳期

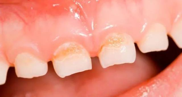
奶瓶龋,又称哺乳龋,是指婴儿睡眠时不断吸吮奶瓶而造成的龋齿,表现为
图片尺寸1200x776
90%的妈妈不知道,喂夜奶会导致宝宝虫牙
图片尺寸450x300
检查孩子的口腔,被晨晨的一口牙被惊到了:满口牙都是肉眼可见的虫牙
图片尺寸640x427
这虫牙防不胜防.这该如何是好.
图片尺寸1440x1920
预防婴幼儿龋齿,从戒奶睡开始
图片尺寸516x491
让宝宝快速戒掉夜奶,解放宝妈
图片尺寸1040x780
宝宝有了虫牙该不该补?
图片尺寸800x800
含着奶头睡觉牙齿就这样烂掉了
图片尺寸399x273
吃夜奶长得龋齿图片母乳夜奶会导致龋齿吗
图片尺寸348x289
虫牙要补吗?关于"虫牙"你不得知道的那些事
图片尺寸538x334
儿童牙病 - 好大夫在线
图片尺寸1600x1066
乳牙龋齿的原因与危害
图片尺寸960x721
上颌前牙发生奶瓶龋 要点 04 母乳喂养的宝宝仍可能会有蛀牙 哺乳期
图片尺寸610x325
一岁三个月零25天正式断奶(夜奶龋齿)
图片尺寸1080x810
如何帮助宝宝戒断夜奶?#叶子口腔科普
图片尺寸600x450
乳牙龋坏不治疗会影响恒牙吗?
图片尺寸690x400
虫牙
图片尺寸544x544
这两大危害,家长可别不当回事_手机搜狐网
图片尺寸1280x854
牙齿怕酸怕冷很"遭罪",虫牙竟是罪魁祸首,预防虫牙怎么办?
图片尺寸641x399
女儿乳牙有龋齿,妈妈没有在意,检查后后悔不已
图片尺寸600x486