血管结节

实性结节的毛刺,分叶,血管集束或血管穿行.这些特征只是结节在 - 抖音
图片尺寸1440x2676
肺结节在影像学上的血管征具体表现
图片尺寸1440x2676
肺结节血管征能鉴别良恶性吗?
图片尺寸1440x1920
肺结节血管集束征
图片尺寸1080x1920
变应性皮肤结节性血管
图片尺寸422x605
双血管不同方向 ,扎入磨玻璃结节
图片尺寸810x1440
肺结节有血管行是恶性吗?
图片尺寸1440x1920
2公分磨玻璃结节血管穿行病理是良性增生
图片尺寸1280x1637
磨玻璃结节的血管汇聚征
图片尺寸1280x969
有没有人腿上血管结节
图片尺寸828x1104
结节性血管炎的患友们,你们是怎么坚持的? - 知乎
图片尺寸485x665
结节性血管炎
图片尺寸1920x2560
多发性皮肤上皮样血管瘤样结节病例分析
图片尺寸900x539
这个与血管相连的双肺多发小结节,是怎样的"神奇"疾病?
图片尺寸510x372
结节性血管炎.jpg
图片尺寸1024x800
【请教】皮下结节伴皮肤毛细血管扩张
图片尺寸3264x2448
病例分享:发现肺小结节6年了,小但有血管进入,该开刀了吗?
图片尺寸1080x1138
20岁,大腿结节切片,假肌源性血管内皮瘤 #医学科普 #病理学-健康视频
图片尺寸720x1280
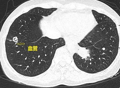
穿过肺结节的血管其实是一个纸老虎
图片尺寸1279x1706
多发性皮肤上皮样血管瘤样结节病例分析
图片尺寸900x539