血细胞仿真

白细胞图片_百度百科
图片尺寸235x250
看图识细胞第37期2018年第3次北京市血细胞形态学室间质评
图片尺寸520x350
重度贫血之泡沫|骨髓|浆细胞|红细胞|外周血|球蛋白
图片尺寸660x874
血细胞
图片尺寸791x1200
卫健委临检中心2020年血细胞形态学检查室间质量评价及答案
图片尺寸660x481
北京欧倍尔人促红细胞生成素(epo)生产全流程虚拟仿真软件
图片尺寸640x337
四川省2019年第2次血细胞形态学检查室间质量评价
图片尺寸379x258
红细胞|血细胞|血小板|白细胞|祖细胞_网易订阅
图片尺寸354x148
5张经典血涂片全面解读再生性贫血_红细胞
图片尺寸734x553
2019年第1次浙江省医院检验科血细胞形态学室间质控评价
图片尺寸598x513
看图识细胞之卫生部2018年第1次血细胞形态学质控
图片尺寸567x414
四川省2019年第2次血细胞形态学检查室间质量评价
图片尺寸380x260
储存新生儿干细胞这项增值服务已深入大众家庭
图片尺寸882x504
隐匿的血细胞
图片尺寸554x417
看图识细胞之卫生部2018年第2次血细胞形态学质控
图片尺寸701x473
2019年第2次血细胞形态学检查室间质控评价
图片尺寸1000x752
cell:这种常见的饮料成分能延寿和增强癌症治疗_研究人员_化疗_细胞
图片尺寸724x228
谈医论症 | 能"救命"的造血干细胞_红细胞_移植_血细胞
图片尺寸1080x720
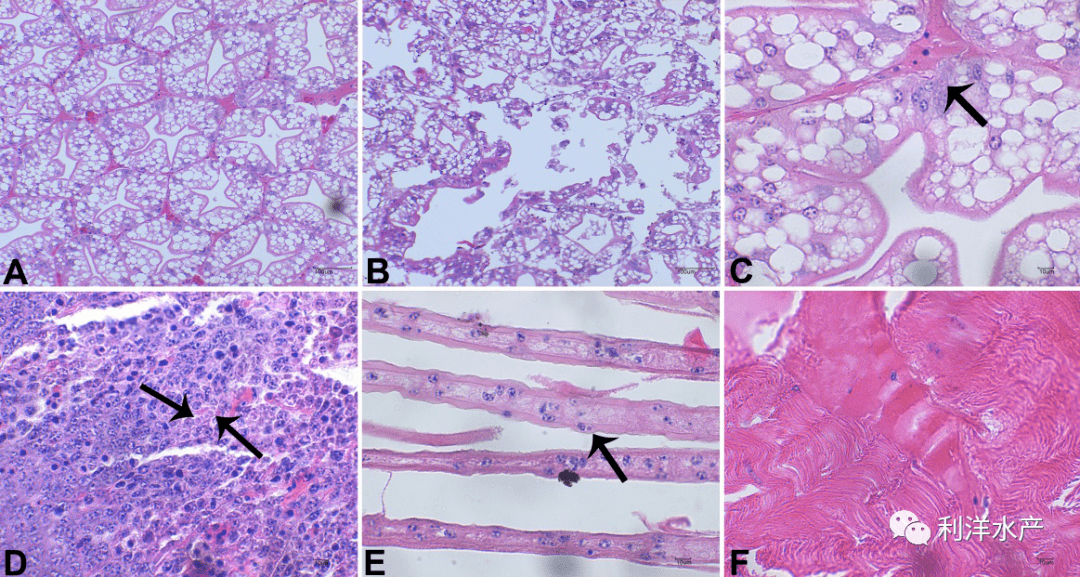
每周一例冬棚养殖罗氏沼虾大量死亡检出虾血细胞虹彩病毒shiv
图片尺寸1080x577
四川省2019年第2次血细胞形态学检查室间质量评价
图片尺寸380x260