衣原体肺炎

肺炎衣原体图片(图)
图片尺寸500x375
肺炎衣原体感染好发于免疫受损或被抑制者,该病传染但不遗传
图片尺寸640x427
衣原体肺炎,一种常见但容易忽视的社区获得性肺炎
图片尺寸640x445
什么是衣原体肺炎
图片尺寸569x320
检验与临床:流产衣原体感染引起的肺炎1例
图片尺寸550x442
哈医大一院成功救治一名鹦鹉热衣原体感染重症肺炎患者
图片尺寸486x199
2其他肺炎-肺炎衣原体肺炎 7115肺炎衣原体(cp)感染引起的急性
图片尺寸1001x1280
肺炎衣原体
图片尺寸1200x800
致命的鹦鹉热衣原体重症肺炎——急诊医学中心ecmo辅助下救治我院首例
图片尺寸1080x1439
什么是衣原体支原体又是什么会引起哪些疾病
图片尺寸660x440
检验与临床流产衣原体感染引起的肺炎1例
图片尺寸544x539
"鹦鹉热衣原体肺炎"患者以听力下降为首发症状,并发Ⅰ型呼衰,肝功能
图片尺寸1000x334
病原体就躲在你身边,这4种情况应做支原体衣原体检查_传播_进行_治疗
图片尺寸1036x584
小儿衣原体肺炎的病因
图片尺寸350x280
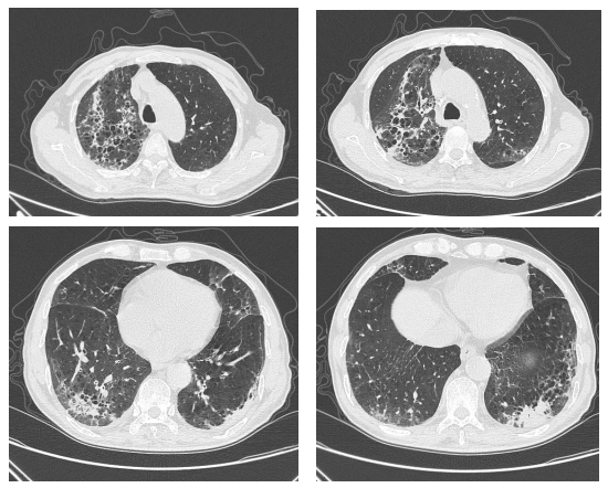
鹦鹉热衣原体肺炎影像学表现
图片尺寸780x584
鹦鹉热衣原体肺炎影像学表现
图片尺寸785x466
永州市第四人民医院治愈一例鹦鹉热衣原体感染患者
图片尺寸619x542
常见的衣原体感染有哪些?
图片尺寸480x270
呼吸系统疾病丨鹦鹉热衣原体肺炎
图片尺寸960x720
支原体肺炎来势汹汹,出现这些症状当心
图片尺寸292x224