表皮切片

表皮细胞
图片尺寸960x1280
表皮切片
图片尺寸1090x1200
观察洋葱内表皮细胞 第一次制作洋葱内表皮细胞临时装片并染色观察,呦
图片尺寸960x1280
洋葱表皮细胞
图片尺寸3024x4032
洋葱表皮切片标本制作步骤
图片尺寸600x600
洋葱表皮装片
图片尺寸800x600
显微镜下的洋葱鳞片表皮细胞
图片尺寸1728x1080
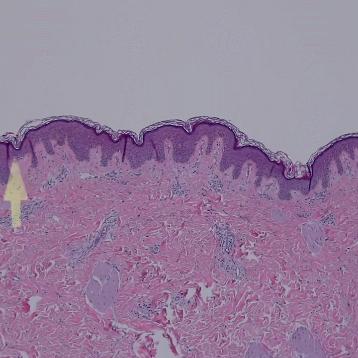
无毛皮肤表皮层的显微和超微结构
图片尺寸720x304
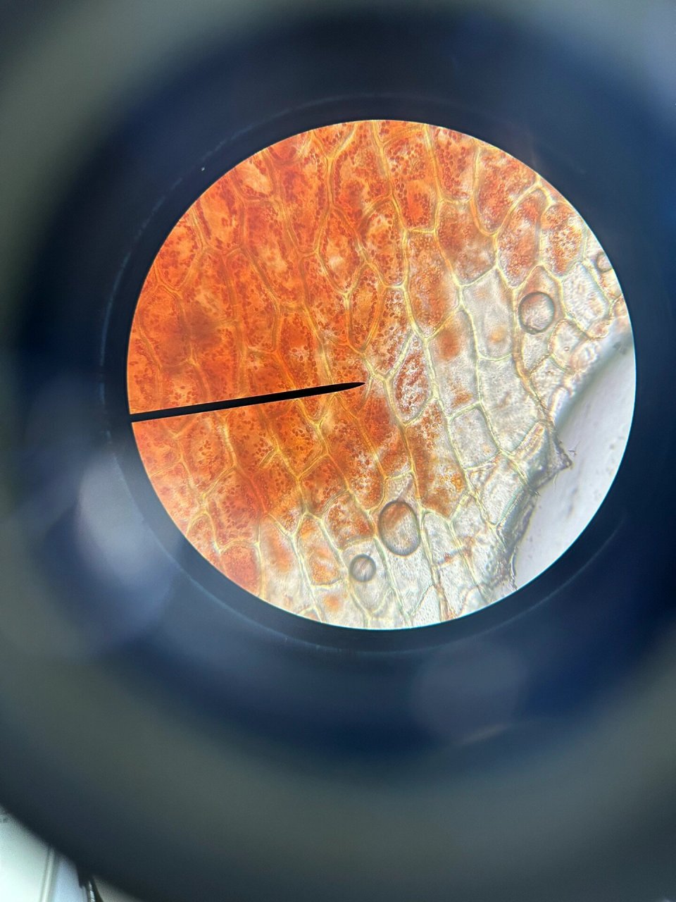
洋葱内表皮细胞质壁分离
图片尺寸1920x2560
显微镜下的洋葱外表皮发生的质壁分离
图片尺寸1280x1706
12洋葱表皮装片10x001
图片尺寸800x634
基本组织切片光镜结构
图片尺寸1280x1706
观察洋葱内表皮细胞
图片尺寸1920x2560
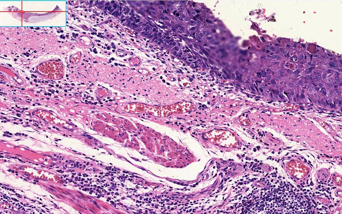
病理学切片,鳞状上皮化生
图片尺寸1124x702
显微镜标本切片生物玻片洋葱表皮鳞片叶根横切根尖横切染色体装片
图片尺寸591x591
单层柱状纤毛上皮切片高校医学院校用组织病理石蜡玻片标本显微镜
图片尺寸1080x1080
我们将从医学切片的角度来详细认知一下真实的皮肤结构和功能,为我们
图片尺寸720x720
洋葱鳞片叶表皮细胞结构 #学医学生医学生物 需要的宝自取
图片尺寸2560x1280
动物表皮细胞装片切片装片生物切片涂片小学初中高中生物科学实验
图片尺寸800x800
显微镜下的世界 显微镜下的洋葱皮 - 抖音
图片尺寸1440x2732