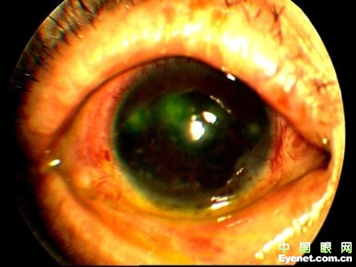
角膜碱烧伤

角膜碱烧伤
图片尺寸520x390
严重眼硫酸烧伤病例
图片尺寸600x450
深圳一男子遭遇碱烧伤,爱尔眼科争分夺秒为其救治!
图片尺寸1178x1046
一层薄薄羊膜修复碱烧伤角膜州人民医院眼科成功开展首例无缝线羊膜
图片尺寸1080x810
角膜化学伤酸性碱性物质进入眼睛3期症状图解
图片尺寸600x450
图碱性结角膜烧伤,角巩膜缘干细胞移植一,职业性化学性眼灼伤化学性眼
图片尺寸1080x810
如图所示 4月初-8月底角膜疤痕 脂质渗出明显好转 角膜变透明4月份
图片尺寸1080x1439
中午,在食堂,遇到了骨科的汪医生,眼角皮破了一块
图片尺寸1707x1280
角膜碱烧伤新生血管模型 - 康城生物-专业临床前药理药效评价机构
图片尺寸696x410
(图) 碱烧伤后角膜溃疡.烧伤区荧光素着色
图片尺寸966x1011
新疆双眼碱烧伤患者的坎坷复明路
图片尺寸543x181
东北首例国产领扣型人工角膜移植术救治严重化学烧伤失明患者
图片尺寸1233x393
惊险昆明一男子用强碱疏通下水道碱水入眼烧伤角膜
图片尺寸450x253
碱烧伤的患者 角膜移植 干细胞移植!
图片尺寸1080x1428
烧碱烫伤
图片尺寸1920x2560
新疆双眼碱烧伤患者的坎坷复明路
图片尺寸1080x720
角膜热烧伤(眼睛被开水/油/铁/铝/钢烫伤)症状图解〔慎入〕 - 眼科学
图片尺寸600x450
手机裂隙灯照相之日常查房----严重碱烧伤角膜上皮愈合过程
图片尺寸1611x1125
患者自述:如果没有米赫人工角膜,我不知道自己会变成什么样子
图片尺寸1000x719
角膜化学伤酸性碱性物质进入眼睛3期症状图解
图片尺寸600x450