许莫氏结节动画

腰背痛的隐形幕后黑手症状性许莫氏结节转载
图片尺寸800x732
许莫氏结节资讯汇编附图
图片尺寸978x532
腰椎间盘突出症这么多见,你知道许莫氏结节是怎么回事么
图片尺寸942x788
上面报告不是写的很清楚吗 追答 腰椎间盘突出,肾囊肿,许莫氏结节是
图片尺寸768x1024
许莫氏结节资讯汇编附图
图片尺寸1080x1920
工作中常遇到的许莫氏结节您真的了解它吗
图片尺寸525x284
l2-l4椎体许莫氏结节 缓解方法和日常注意
图片尺寸600x799
什么是许莫氏结节它竟然是腰突症的一种中医怎么说
图片尺寸477x429
胸12-腰2,腰4-骶1椎体见多发许莫氏结节(黄箭),腰1-骶1椎体前缘见阶梯
图片尺寸450x680
许莫氏结节ppt下载
图片尺寸806x869
许莫氏结节资讯汇编附图
图片尺寸896x605
驼背畸形多个相邻椎体终板不规则,并伴有schmorls结节(许莫氏结节)
图片尺寸1080x1153
腰突许莫氏结节
图片尺寸1080x810
腰椎间盘突出症患者自我康复锻炼的秘方
图片尺寸752x430
许莫氏结节
图片尺寸893x558
许莫氏结节及终板炎影像诊断
图片尺寸1920x1080
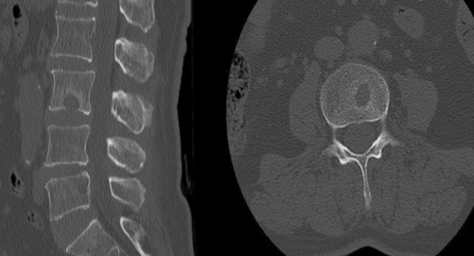
椎间盘游离 椎体内疝 椎体内疝或者说许莫氏结节(schmorl node)是指椎
图片尺寸636x259
得了许莫氏结节下肢出现麻木刺痛怎么办
图片尺寸648x513
第二种叫椎间盘突出,第三种叫椎间盘的脱出,第四种叫许莫氏结节
图片尺寸1080x1203
得了许莫氏结节下肢出现麻木刺痛怎么办
图片尺寸453x417