豆状核钙化

豆状核钙化
图片尺寸1080x810![肝豆状核变性病例一例(供大家学习) [病例帖]](https://i.ecywang.com/upload/1/img0.baidu.com/it/u=2731451813,751860830&fm=253&fmt=auto&app=138&f=JPEG?w=667&h=500)
肝豆状核变性病例一例(供大家学习) [病例帖]
图片尺寸2592x1944
中国肝豆状核变性诊治指南2021
图片尺寸348x238
肝豆状核变性---概念---诊断---治疗--预后
图片尺寸1287x340
6 fahr 病(双侧苍白球-纹状体-齿状核钙化) fahr 病目前病因不详,主要
图片尺寸640x777
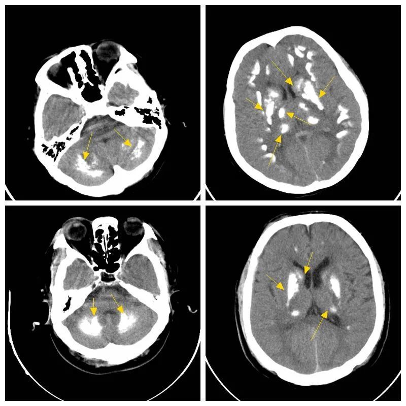
豆状核,尾状核,丘脑及双侧灰白质交界带对称性斑片状,条状高密度钙化
图片尺寸768x1024
肝豆状核变性(hld) - 好大夫在线
图片尺寸3120x4160
尿毒症性脑病影像学特点:豆状核叉征
图片尺寸640x675
肝豆状核变性#查房 #跟我一起涨知识 - 抖音
图片尺寸1920x1280
肝豆状核变性_肝硬化_医脉通
图片尺寸900x721
脂肪肝|凯-弗环|肝豆状核变性(后附:中国肝豆状核变性诊治指南2021)
图片尺寸900x600
核形钙化:钙化与尾状核,豆状核,丘脑,小脑齿状核形态一致.
图片尺寸800x800
肝豆状核变性
图片尺寸540x883
屏状核 位于豆状核 外侧 为薄层灰质
图片尺寸1080x810
左侧豆状核模糊
图片尺寸275x350
肝豆状核变性kf环图片
图片尺寸1310x1083
萌妹子课堂——颅内钙化知多少(生理篇)
图片尺寸640x723
肝豆状核变性的影像诊断
图片尺寸630x418
肝豆状核变性研究的前世今生
图片尺寸400x289
神经影像:颅内钙化之病理篇丨实战读片
图片尺寸856x440