贲门癌ct

患上贲门腺癌是手术还是先化疗再手术
图片尺寸2000x1536![食管下段贲门癌合并纵膈巨大站位(性质?) [病例帖]](https://i.ecywang.com/upload/1/img2.baidu.com/it/u=770831237,2478316021&fm=253&fmt=auto&app=138&f=JPEG?w=648&h=500)
食管下段贲门癌合并纵膈巨大站位(性质?) [病例帖]
图片尺寸4025x3104
贲门癌最佳手术方案(贲门癌手术该怎么做)(5)
图片尺寸512x512
胃底贲门部腺癌更适合腹腔镜经腹及食管裂孔手术
图片尺寸4160x3120
贲门癌根治术
图片尺寸800x674
食管下段贲门胃底癌一例
图片尺寸680x510
【影像病例】贲门癌的诊断与鉴别诊断
图片尺寸300x300
贲门失弛缓症合并食管癌 - 好大夫在线
图片尺寸1312x738
食管下段贲门胃底癌一例
图片尺寸680x510
食管下段贲门胃底癌一例
图片尺寸680x510
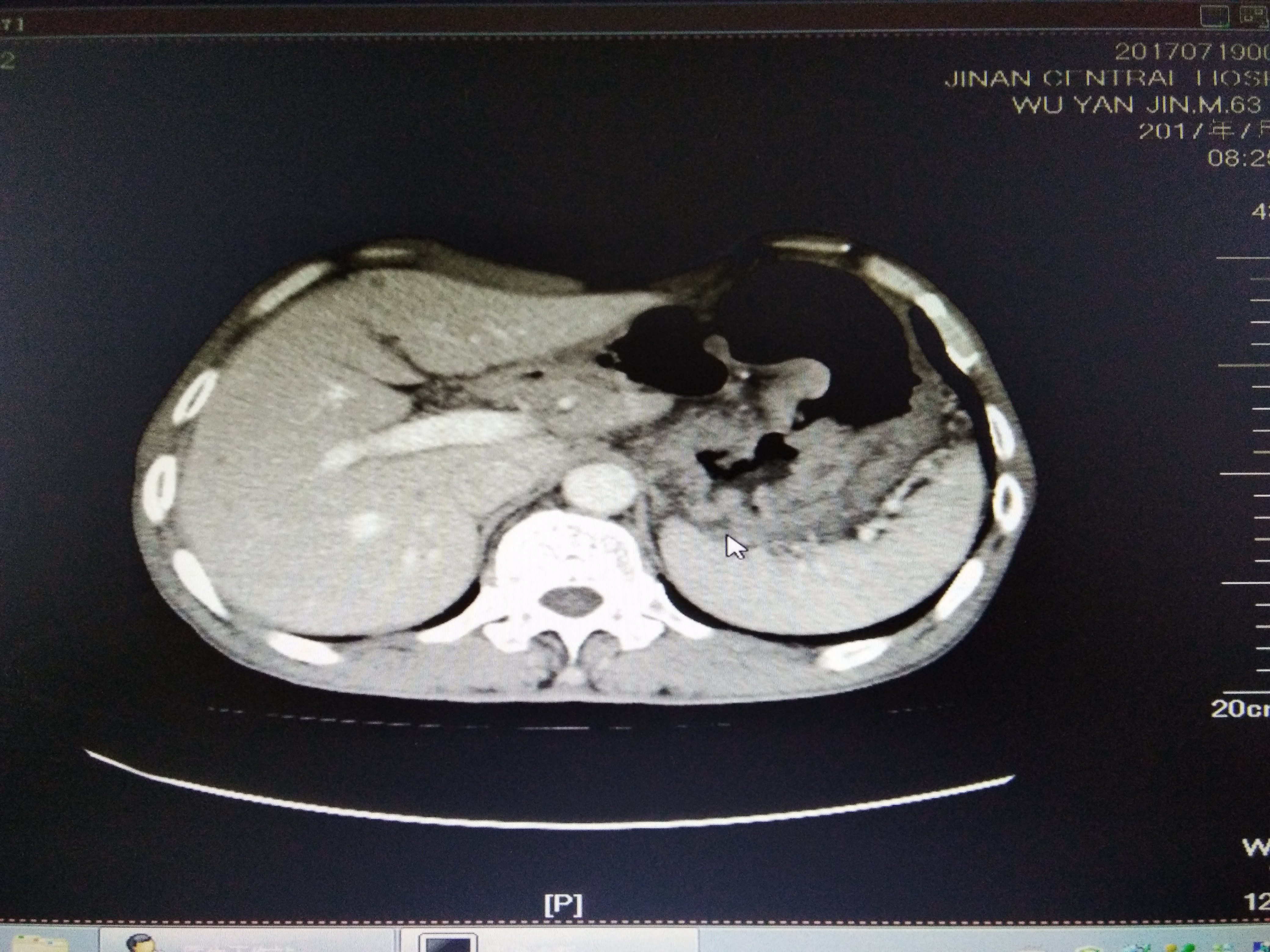
查体:查体无明显异常 辅查:2015-8-4外院胃镜:1:贲门癌;2慢性浅表性
图片尺寸680x917
图十-十二:贲门胃底巨大溃疡型癌,累及胃壁全层,食道,局部管腔狭窄
图片尺寸360x444
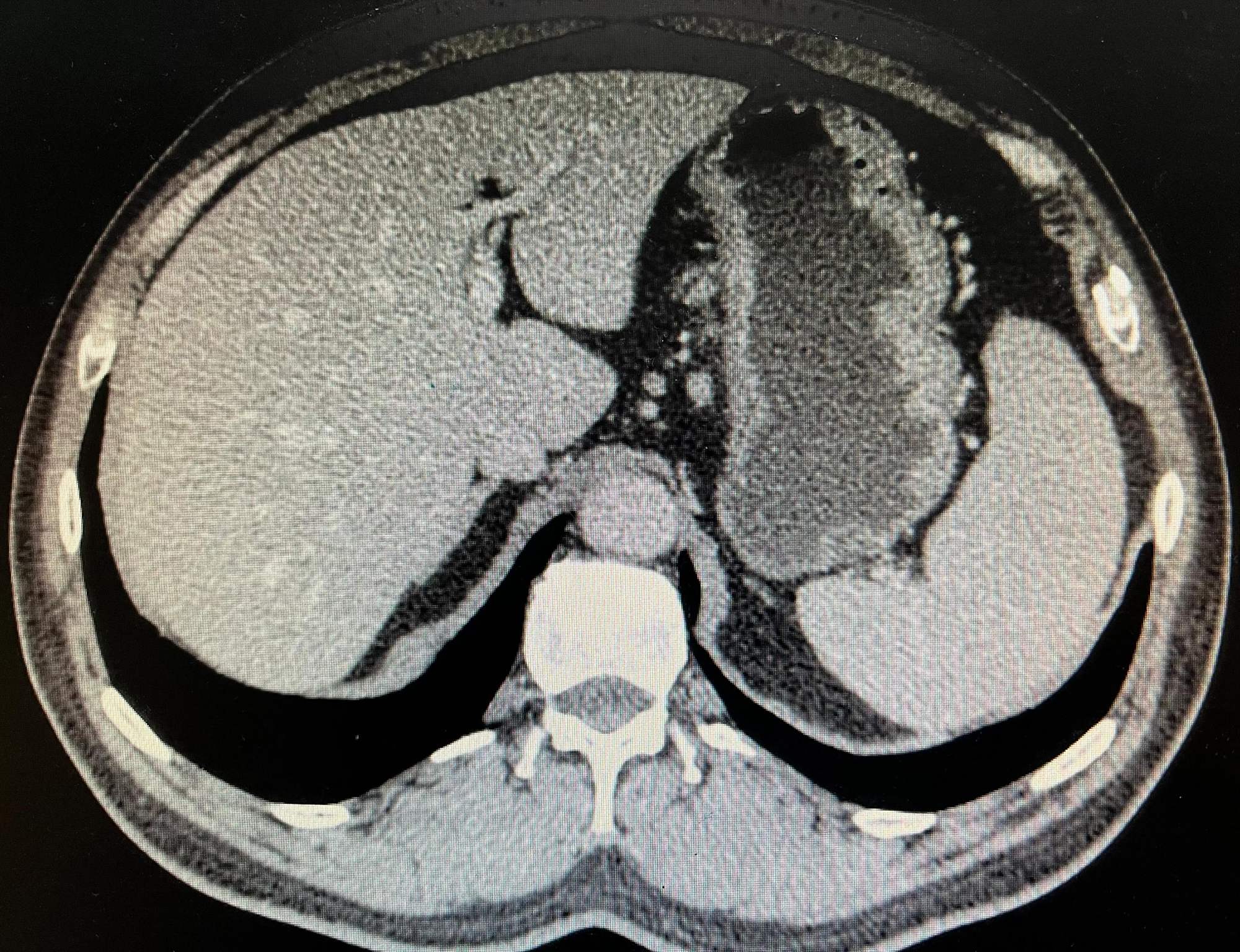
食管贲门癌,肝转移 1,食管贲门处肿块,管壁增厚,管腔狭窄
图片尺寸600x654
贲门癌根治术
图片尺寸800x661
贲门癌
图片尺寸200x201
放射医学(医学高级):ct考试答案(最新版)
图片尺寸741x551
贲门失弛缓症合并食管癌 - 好大夫在线
图片尺寸1312x738
图1ct平扫贲门小弯侧壁上葫芦状低密度囊性病变,边界清楚,黏膜面毛糙
图片尺寸505x431
贲门癌急剧出血性休克一例
图片尺寸633x475
贲门癌急剧出血性休克一例
图片尺寸633x475