跟骨正位图片

跟骨正(轴)位(图)
图片尺寸400x443
跟骨骨折x线照片.侧面图.
图片尺寸1132x1100
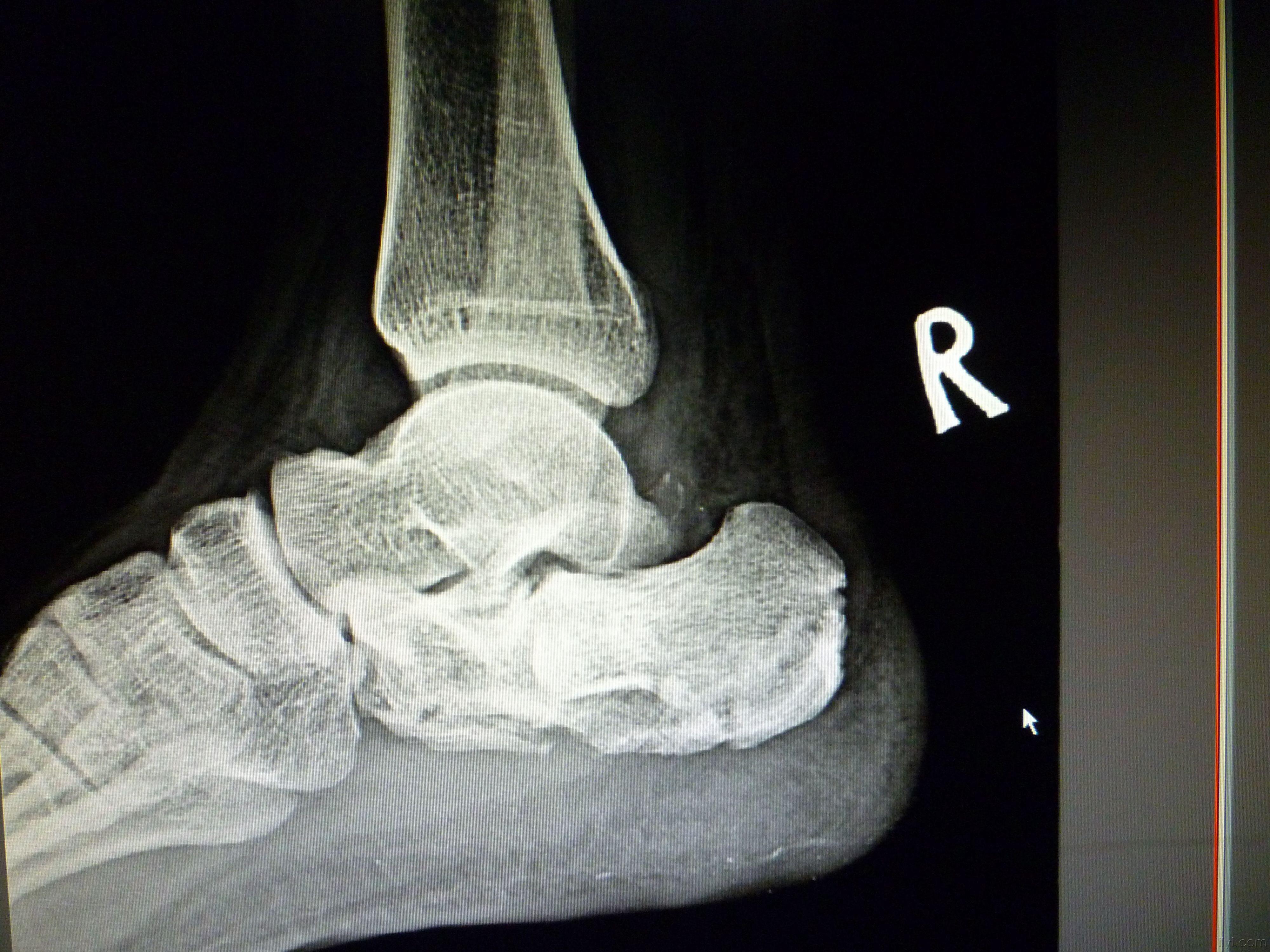
右跟骨骨折
图片尺寸3264x2448
其它 新沂市中医院骨一科微创切口治疗跟骨骨折 写
图片尺寸1200x1200
跟骨骨折术后请赐教
图片尺寸4000x3000
腾讯新闻
图片尺寸458x478
四肢骨骼解剖和骨折ppt
图片尺寸1080x810
治疗足跟骨骨刺的偏方
图片尺寸456x324
这6张跟骨图像你能分得清吗
图片尺寸560x512
踝关节正侧位跟骨轴位
图片尺寸461x717
有一个正常的纤瘦身材的横径,不至于挤压内外踝部位的神经血管及肌腱
图片尺寸674x412
请问这例跟骨骨折的治疗方案 - 骨科与显微外科专业
图片尺寸450x600
a,在尸体中的跟骨的正面3d ct图像显示内侧足底过程(箭头)的板状突出
图片尺寸640x585
跟骨骨折术后请赐教
图片尺寸4000x3000
跟骨骨折
图片尺寸720x960
x线片上一般可见到跟骨基底结节部有粗糙刺状突或骨
图片尺寸640x426
开会讨论,一致认为患者为青少年,生长发育期,不宜切开复位钢板固定术
图片尺寸1600x1200
骨科医生帮忙给看一下我的左脚跟骨有事没事.
图片尺寸1032x581
请大家分析下跟骨有没有骨折
图片尺寸1600x1200
无忧文档 所有分类 医药卫生 临床医学 跟骨骨折的分
图片尺寸1080x810