车祸颈椎受伤

车祸后活蹦乱跳的人,其实最危险
图片尺寸660x441
井陉我老公因车祸颈椎粉碎性骨折导致全身瘫痪
图片尺寸800x1066
车祸导致头部剧烈摇晃,颈椎过度屈伸受损
图片尺寸640x362
何洁车祸受伤照片曝光(图)
图片尺寸500x375
crown nest车祸受伤学生之一据信为华人.
图片尺寸660x935
「手术禁区」市五院骨科勇闯男子车祸险瘫痪
图片尺寸587x672
大铁赛前遭遇车祸颈椎骨折,仅半年马拉松跑出2:49,顶级铁三运动员的
图片尺寸620x463
正确处理是关键!
图片尺寸660x805
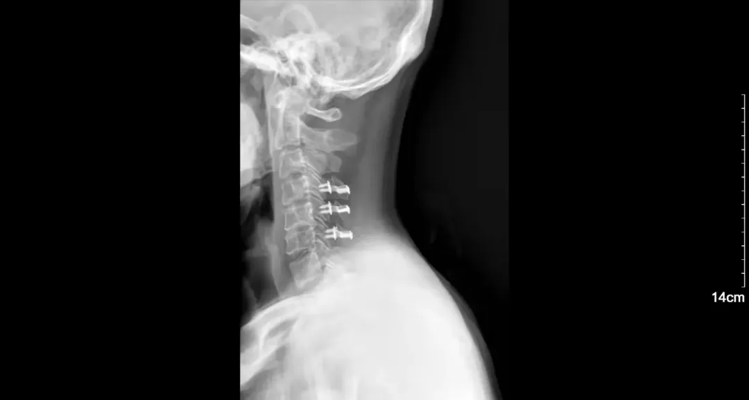
上树摘果意外坠地男子头部着地颈椎受伤的他还能重新站起来吗
图片尺寸1080x608
陈学冬车祸受伤第三次手术,头发全白模样憔悴,粉丝:"活着就好"!
图片尺寸1024x1366
脊柱外科收治一例因车祸伤导致非骨折脱位型颈部脊髓损伤并高位截
图片尺寸1080x577
受伤的轻重
图片尺寸552x524
该怎么进行恢复?_治疗_患者_严重
图片尺寸390x255
金华市58岁母亲不幸突发车祸,受伤45天花费近20万!
图片尺寸2619x2857
车祸致第二颈椎骨折,精湛医术救治助其平安脱险
图片尺寸1920x1440
张冕|车祸|电视剧|胡歌官宣升级做爸爸_网易订阅
图片尺寸660x342
一家三口去温泉酒店游玩结果男主人在泳池边滑倒致颈椎骨折
图片尺寸640x462
凌晨发生严重车祸!
图片尺寸640x481
27岁美女主持发生车祸!低头看导航撞上货车,多处受伤渗血险毁容
图片尺寸660x785
发生严重车祸时,剧烈的撞击可能导致颈椎骨折,脊髓受损等伤害.
图片尺寸1080x1308