软骨组织模型

人体2倍放大喉咙解剖模型喉软骨结构与功能放大模型喉肌喉腔学生通用
图片尺寸800x800
正常和早期膝骨关节炎的软骨生物力学研究
图片尺寸3153x2301
科膝关节疾病半月板十韧带软骨组织韧带结构模型骨科手术摸拟医患沟通
图片尺寸800x800
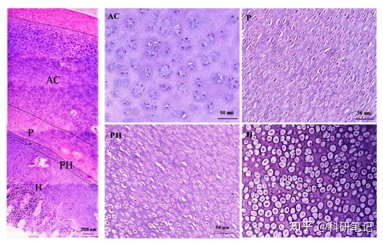
软骨内成骨-组织胚胎学-医学
图片尺寸1029x1645
人体喉部解剖模型肌肉软骨组织结构鼓膜咽鼓管喉腔声带
图片尺寸800x800
【病理专题】骨,关节组织学ra动物模型病理检测
图片尺寸753x838
医学人体喉软骨模型咽喉肌模型喉咙腔解剖喉腔喉头结构声乐学习耳鼻喉
图片尺寸800x800
医学人体喉软骨模型咽喉肌模型喉咙腔解剖喉腔喉头结构声乐学习耳鼻喉
图片尺寸1000x1000
target="_blank" href="/item/软骨组织/3240196" data-lemmaid="
图片尺寸1927x2280
组织切片软骨组织
图片尺寸1080x1080
退行性血友病模型骨科疼痛管骨骼模型膝关节软骨组织韧带结构模型
图片尺寸990x990
诱发性骨性关节炎模型(oa)_实验_软骨_制动
图片尺寸868x703
人体医学鼻腔解剖模型耳鼻喉呼吸科内窥镜鼻软骨美容教学演示模型
图片尺寸800x800
enovo颐诺医学人体喉模型喉肌喉软骨模型喉咙咽喉腔解剖喉腔喉头
图片尺寸1000x1000
小鼠类风湿关节炎动物模型的建立 大鼠膝关节骨性关节炎动物模型构建
图片尺寸348x246
模型介绍喉气管狭窄是由于喉气管软组织和软骨支架结构损伤,缺失使得
图片尺寸1080x1272
优模医学人体喉肌喉软骨喉咙咽喉口腔甲状腺解剖模型 教具耳鼻喉科
图片尺寸800x800
兔膝关节软骨损伤模型,专业实验请勿模仿
图片尺寸972x607
enovo颐诺气管解剖结构模型气管壁喉解剖医学音乐教学喉软骨模型
图片尺寸800x800
软骨组织染色
图片尺寸784x499