轻度氟斑牙

氟斑牙的牙齿美白方法
图片尺寸584x389
氟斑牙美白患者一例 - 好大夫在线
图片尺寸4288x2848
轻度氟斑牙:白垩色不透明区超过患牙牙面的1/4,甚至累及整个牙面,牙无
图片尺寸640x418
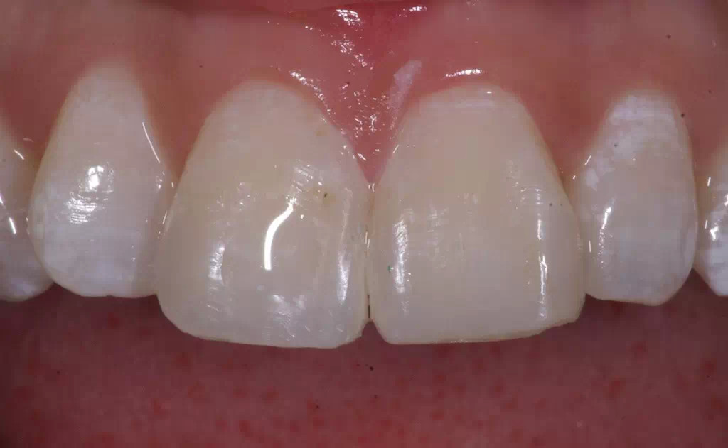
二院朝阳口腔渗透树脂治疗轻度氟斑牙一例
图片尺寸960x1280
浅析氟斑牙的原因都有哪些
图片尺寸473x248
患有氟斑牙怎样治疗?哺乳期能不能治疗?
图片尺寸960x720
氟中毒的临床表现-氟斑牙
图片尺寸500x383
阳城二院朝阳口腔氟斑牙美白一例
图片尺寸1600x1200
轻度氟斑牙微创修复两例
图片尺寸1024x739
轻度氟斑牙
图片尺寸640x354
氟斑牙发生后终生不退,轻者影响外观和美容,重者影响咀嚼及消化功能.
图片尺寸1080x810
轻中度氟牙症氟斑牙微研磨治疗 - 炎燃熊熊 - 炎燃熊熊的博客
图片尺寸480x360
轻度氟斑牙怎么治疗比较好
图片尺寸1024x631
氟斑牙
图片尺寸800x462
氟斑牙漂白治疗三年随访一例 - 好大夫在线
图片尺寸4928x3264
我们主要说氟斑牙,氟斑牙轻度的时候没有牙齿形态的变化,有意思的是
图片尺寸738x438
昆山氟斑牙美白价格是多少
图片尺寸634x380
氟斑牙,希望口腔方面的医生帮忙诊断一下
图片尺寸720x960
氟斑牙的困扰我该怎么对付你
图片尺寸464x249
瓷贴面美白氟斑牙效果怎么样?
图片尺寸1936x1296