输卵管四维

输卵管四维超声造影
图片尺寸1280x1706
涿州市医院生殖医学科子宫输卵管四维超声造影上线啦!
图片尺寸756x370
超声四维输卵管造影体验
图片尺寸667x500
备孕好帮手:四维输卵管造影
图片尺寸640x446
谢永玉团队完成全县首例探查精子和卵子的"鹊桥之路"4d子宫输卵管超声
图片尺寸551x267
特色技术一招鲜特色项目子宫输卵管四维超声造影
图片尺寸762x502
💥输卵管奥秘大揭秘💥
图片尺寸1280x669
备孕好帮手:四维输卵管造影
图片尺寸838x631
一文读懂输卵管造影
图片尺寸865x809
(二十一)四维子宫输卵管超声造影术
图片尺寸595x504
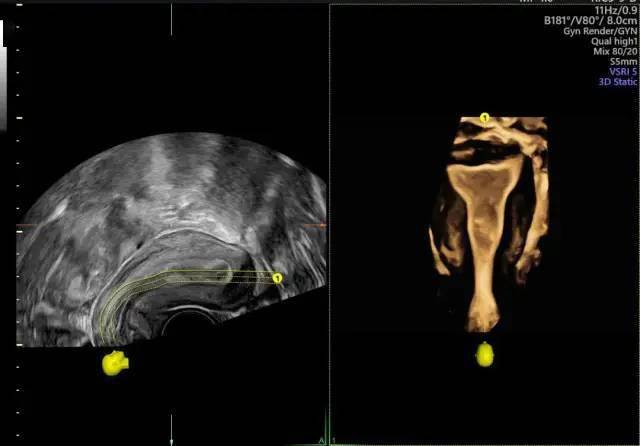
宫腔三维成像(宫腔下段子宫内膜息肉)经阴道四维子宫输卵管造影成像这
图片尺寸1061x736
四维彩超
图片尺寸2048x2730
孕期四维彩超:为宝宝健康保驾护航 💖
图片尺寸644x749
超声输卵管造影检查
图片尺寸1078x1312
hysterosalpingogram(子宫输卵管造影)
图片尺寸942x1088
世界首例试管婴儿42岁了,迟到的礼物更是惊喜
图片尺寸608x459
标准的输卵管造影到底长什么样子
图片尺寸720x960
hysterosalpingogram(子宫输卵管造影)
图片尺寸1252x750
输卵管造影检查是怎么做的
图片尺寸960x1280
输卵管造影全记录:准备,手术与恢复
图片尺寸1164x1491