达尔文结节

据说达尔文点的主要功能是,它可以聚集吸收更遥远地方的声音.
图片尺寸950x720
耳朵上的"小包",这其实叫做达尔文结节,据说拥有这个特征人,听觉异于
图片尺寸640x763
郑辉葡萄膜炎造影dalen-fuchs结节
图片尺寸2667x2000
只有在少数身体上才会被发现的8个罕见的特征|肌肉|达尔文|牙齿|结节
图片尺寸640x378
晚霞样眼底与dalen-fuchs结节,听到的多,见到的少
图片尺寸1080x824
以下收集了6篇经典的关于达尔文的专题内容希望能对你的阅读起到帮助
图片尺寸402x500
郑辉葡萄膜炎造影dalen-fuchs结节
图片尺寸2667x2000
"达尔文点"又称"达尔文结节",是人类耳朵外缘上的一个结节状突起
图片尺寸505x247
近端指间关节骨关节炎heberden结节征
图片尺寸1001x950
这个小结节是良性的但我却高兴不起来
图片尺寸1913x1562
进化论是谁提出的达尔文和华莱士是谁先提出进化论的
图片尺寸550x501
koeppe结节和 busacca结节▲晶状体异物▲前房型人工晶体植入术壶
图片尺寸642x436
(二)耳轮结节——耳轮外 上方稍肥厚的结节状突起 ,又称达尔文结节.
图片尺寸1080x810
结节病欢迎指正
图片尺寸3024x4032
多发结节的hrct鉴别诊断攻略一文读懂
图片尺寸770x637
图片
图片尺寸394x270
达尔文生前极度反感基督教死后被国葬埋进教堂
图片尺寸650x430
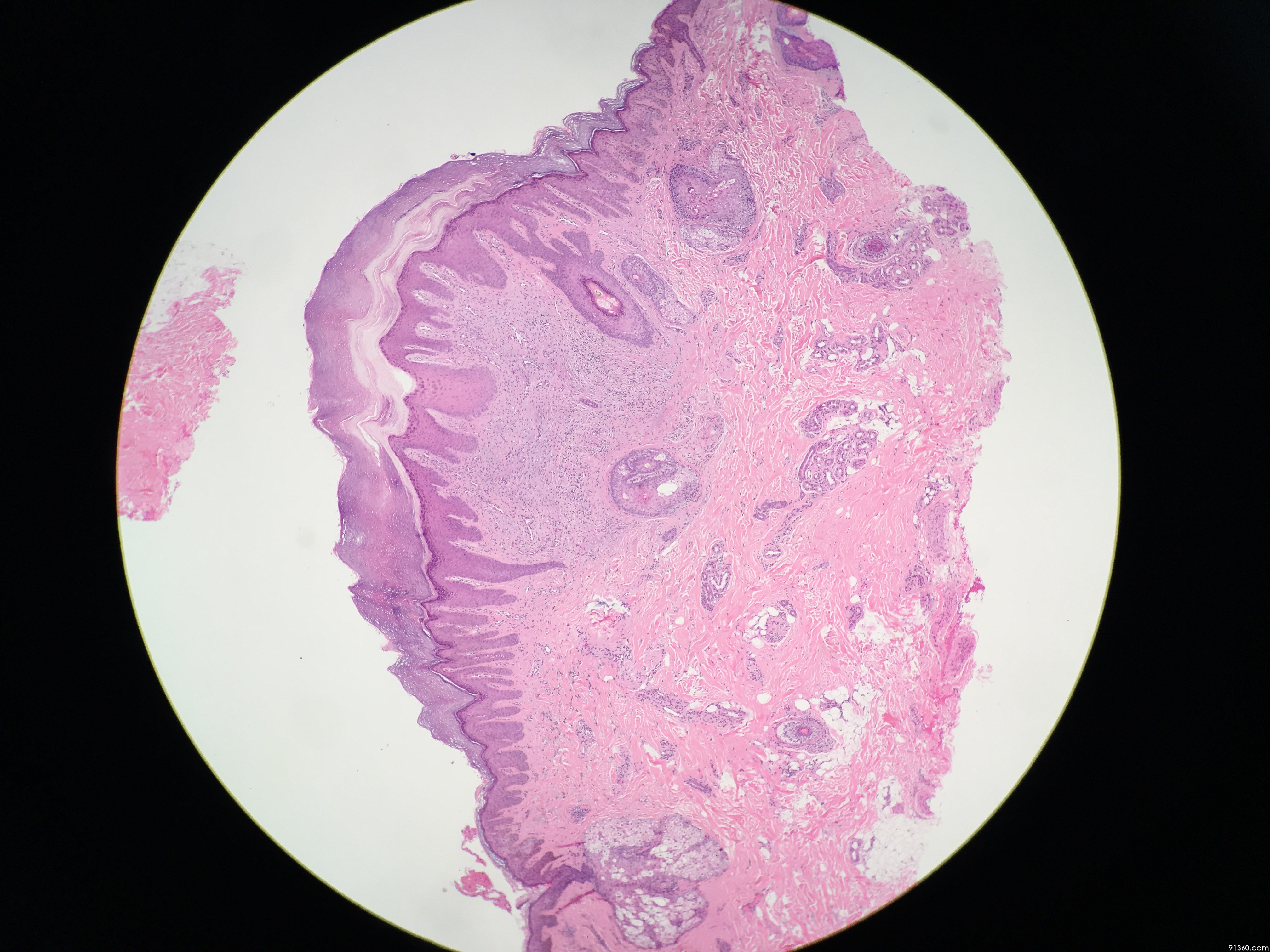
左额部皮肤结节
图片尺寸4032x3024
达尔文便携显微镜满足小朋友好奇心
图片尺寸1080x1439
【一点资讯】达尔文与他的"乡村科学"实践 www.yidianzixun.com
图片尺寸592x747