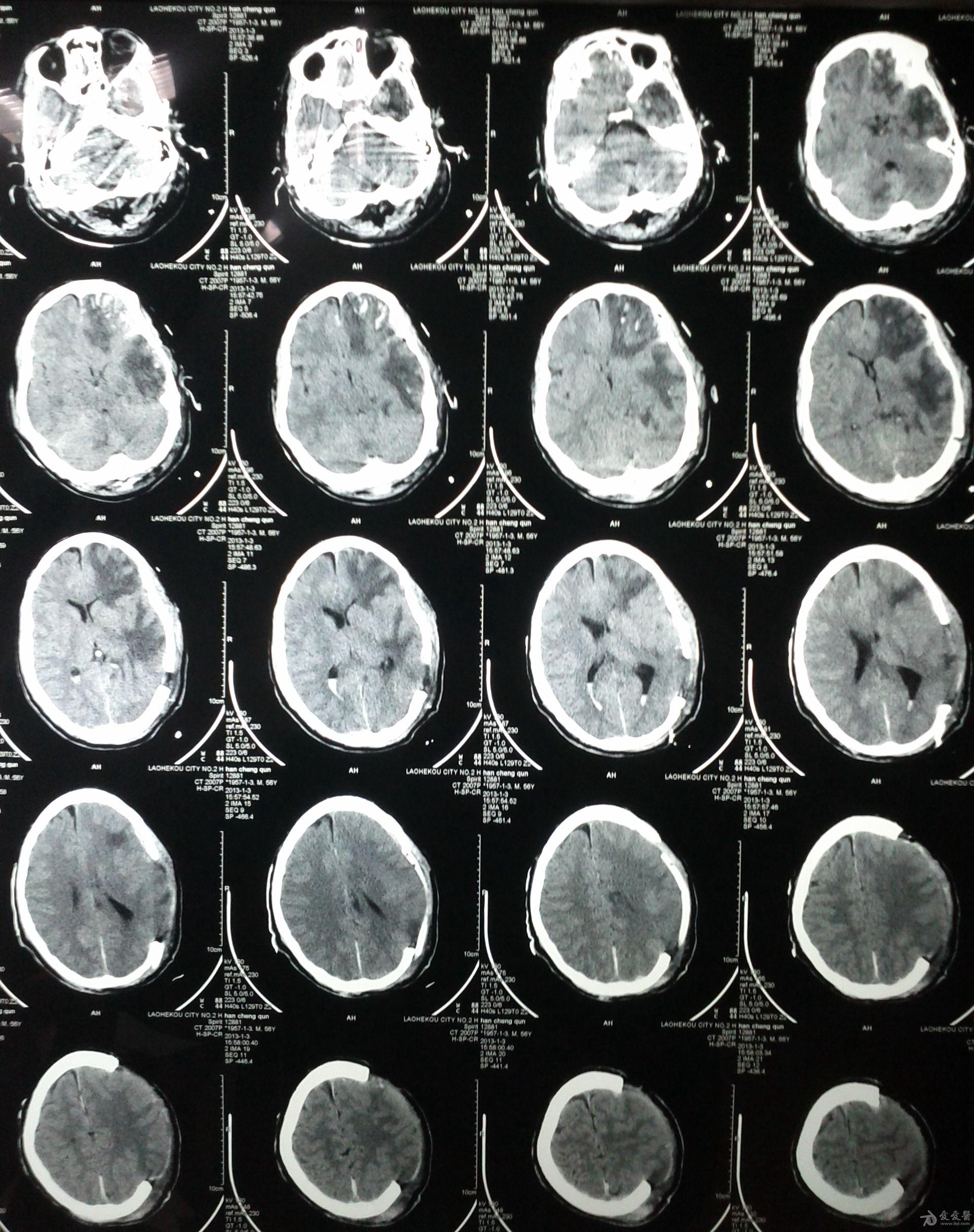
重型颅脑损伤

平邑县中医院外四科成功完成特重型开放性颅脑损伤去骨瓣减压术
图片尺寸2974x3966
病例分享|车祸致重型颅脑损伤,经历3次手术,预后良好让人吃惊
图片尺寸3024x4032
分享重型颅脑损伤双侧去骨瓣病例1则
图片尺寸4032x3024
【监测有道】开放性颅脑外伤伴前额部粉碎性骨折一例报道——颅脑创伤
图片尺寸769x646
永春一男子突发车祸特重型颅脑损伤icu抢救昏迷不醒!
图片尺寸660x887
医神外双周刊》第三十三期:精准颅压颅温监测下治疗一例重型颅脑损伤
图片尺寸525x394
德州市第七人民医院多学科团队成功救治一例重型颅脑损伤患者!
图片尺寸348x230
永春一男子突发车祸特重型颅脑损伤icu抢救昏迷不醒!
图片尺寸660x879
开放性颅脑损伤前额裂口图
图片尺寸750x500
重型闭合性颅脑损伤,复杂性颅骨骨折一例 | 颅脑创伤-神经重症病例
图片尺寸600x800
分享重型颅脑损伤双侧去骨瓣病例1则
图片尺寸4032x3024
重型颅脑损伤一例
图片尺寸1920x2428
昆明一女孩走路低头玩手机摔成开放性重型颅脑损伤!
图片尺寸826x630
重型颅脑损伤一例
图片尺寸1920x2412
特重型开放性颅脑损伤行开颅术病例 - 脑医汇 - 神外资讯 - 神介资讯
图片尺寸750x750
处于嗜睡状态,我们很担心,很害怕你醒不过来,又怕你留下颅脑损伤后遗
图片尺寸750x1000
重型颅脑损伤
图片尺寸1280x960
又一例特重型颅脑损伤脑干损伤
图片尺寸1904x2256
分享一例重型开放性颅脑损伤病例(原创)
图片尺寸3264x2448
特重型开放性颅脑损伤行开颅术病例 - 脑医汇 - 神外资讯 - 神介资讯
图片尺寸750x563