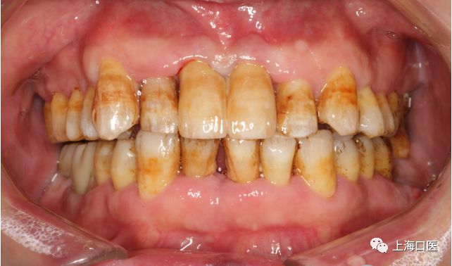
重度氟斑牙

氟斑牙铸瓷贴面修复
图片尺寸4000x2353
重度氟斑牙局部美白 - 好大夫在线
图片尺寸2944x1968
氟斑牙美白患者一例 - 好大夫在线
图片尺寸4288x2848
氟斑牙要怎样治疗这4种方法很重要
图片尺寸1200x801
牙齿美白.重度氟斑牙诊室美白即刻效果,黄斑消失,效果满意,橡 - 抖音
图片尺寸1080x1440
牙齿美白中心 3,重度氟斑牙 牙齿除了广泛着色外
图片尺寸480x270
氟斑牙的牙齿美白方法
图片尺寸584x389
此例患者难度在于重度氟斑牙比色及其困难,且患者因为经济原因不能
图片尺寸2352x1568
昆山氟斑牙美白价格是多少
图片尺寸634x380
此例患者难度在于重度氟斑牙比色及其困难,且患者因为经济原因不能
图片尺寸2352x1568
常熟氟斑牙可以洗白吗
图片尺寸1600x1200
阳城二院朝阳口腔氟斑牙美白一例
图片尺寸1600x1200
轻,中,重度氟斑牙-icon渗透治疗 科贸嘉友收录
图片尺寸400x228
氟斑牙美白患者一例 - 好大夫在线
图片尺寸4288x2848
重度氟斑牙
图片尺寸433x259
一,全瓷贴面主要应用于中重度 四环素牙,氟斑牙的牙齿美容修复
图片尺寸1936x1296
重度氟斑牙
图片尺寸333x200
氟斑牙
图片尺寸579x319
【病例分享】渗透树脂治疗氟斑牙前牙一例
图片尺寸1080x725
氟斑牙缺失后的种植修复病例
图片尺寸642x378