锁骨拍片位置

锁骨骨折康复路:一波三折的求医经历 🌈
图片尺寸1280x1676
分享自己锁骨骨折治疗的曲折经历
图片尺寸788x1051
锁骨骨折治疗标准里为什么不能成角?
图片尺寸1080x810
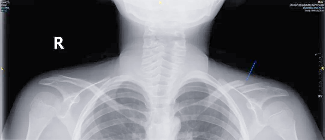
儿童的锁骨骨折很常见,绝大部分无需手术#锁骨骨折#儿童骨科
图片尺寸3174x2160
中医正骨助力锁骨骨折治疗,避免手术痛苦
图片尺寸1080x648
图片尺寸1440x2632
谷爱凌锁骨受伤
图片尺寸690x920
左侧锁骨远端骨折保守治疗记录
图片尺寸3456x4608
了解锁骨骨折,守护你的"肩头之翼"
图片尺寸1080x1015
胸锁关节脱位
图片尺寸1024x1366
中医正骨助力锁骨骨折治疗,避免手术痛苦
图片尺寸1080x820
锁骨骨折的诊断与治疗全解析
图片尺寸1080x465
图片尺寸1920x1842
微创技术助力青少年锁骨骨折治疗
图片尺寸1080x882
当锁骨骨折超过3个月还没愈合,你的身体正发出这些危险警报
图片尺寸1200x800
想记录一下锁骨骨折保守治疗
图片尺寸1174x1565
摔车后的复盘与反思:锁骨骨折的经历
图片尺寸1100x1050
9岁男孩锁骨骨折是保守治疗还是手术治疗?
图片尺寸2000x2667
⚡️宝宝摔跤锁骨疑骨折,带娃急诊拍片🏥
图片尺寸1152x854
锁骨骨折
图片尺寸1440x1920