阑尾粪石ct

小儿阑尾腔粪石嵌顿,导致阑尾炎#医学影像 #医路前行 #抖医 - 抖音
图片尺寸1920x1440
阑尾炎(粪石)ct
图片尺寸2981x1677
阑尾炎的ct诊断
图片尺寸960x720
爱问健康_胡志秋_副主任医师_爱问健康
图片尺寸828x621
阑尾粪石
图片尺寸355x266
ct诊断急性阑尾炎需要注意什么
图片尺寸1080x1440
盆腔可能阑尾管腔扩张,周围有渗液.不排除回肠憩室粪石嵌顿引起.
图片尺寸4160x3120
阑尾增粗,肿胀,阑尾口见粪石,周围脂肪间隙模糊,见索条影,曲面重建可
图片尺寸1080x444
ct下阑尾位置
图片尺寸720x1280
突发的阑尾粪石伴阑尾炎,让这位坚强的小伙弯下了腰!
图片尺寸1200x900
阑尾ct诊断"五部曲"
图片尺寸1080x608
盆腔可能阑尾管腔扩张,周围有渗液.不排除回肠憩室粪石嵌顿引起.
图片尺寸4096x3072
不开刀也能治疗阑尾炎?
图片尺寸513x383
急性阑尾炎腔内粪石梗阻
图片尺寸576x432
壁厚而强化,近端管腔内见高密度粪石影,注意渗出(绿箭头)以阑尾根部为
图片尺寸868x695
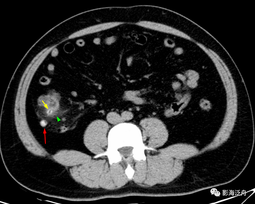
红色箭头所指为阑尾根部,可见明显粪石梗阻,黄色箭头所指为阑尾体部
图片尺寸512x512
病例讨论la阑尾炎三天
图片尺寸4208x2368
ct入门教学(16):阑尾在ct上如怎么找?如何提高寻找成功率?
图片尺寸1920x1080
全面详解正常阑尾和阑尾炎的ct表现
图片尺寸640x480
蓝色圆圈是阑尾粪石,阑尾粘液性肿瘤并破裂,红色圆圈是腹盆腔积液.
图片尺寸799x599