陶氏腔积液

什么是陶氏腔积液
图片尺寸568x320
意思就是说有一些液体积聚在了子宫直肠陷凹,这个凹陷又称为陶氏腔
图片尺寸400x272
什么叫陶氏腔积液?
图片尺寸1080x1080
(一)宫外孕保守治疗出院回家了.
图片尺寸1080x1440
卵巢囊肿多半是要手术了01
图片尺寸1080x1440
什么是陶氏腔积液
图片尺寸914x750
需立即住院治疗不排除少量出血黄先生下腹,盆腔少量积液医生通过急诊
图片尺寸603x415![[试管婴儿]9周,做b超,周边很大液暗区.](https://i.ecywang.com/upload/1/img2.baidu.com/it/u=1062868191,414607301&fm=253&fmt=auto&app=138&f=JPEG?w=488&h=500)
[试管婴儿]9周,做b超,周边很大液暗区.
图片尺寸2929x3000
陶氏腔积液需要治疗吗
图片尺寸1920x1080
出月子了检查一切良好
图片尺寸1080x1440
盆腔积液
图片尺寸281x211
多囊想怀孕老抓这1点路可就走偏了
图片尺寸1080x589
兔宝宝加油好好长大
图片尺寸1080x1440
艾灸曾芳:盆腔积液艾灸20天达到术前水平
图片尺寸949x1280
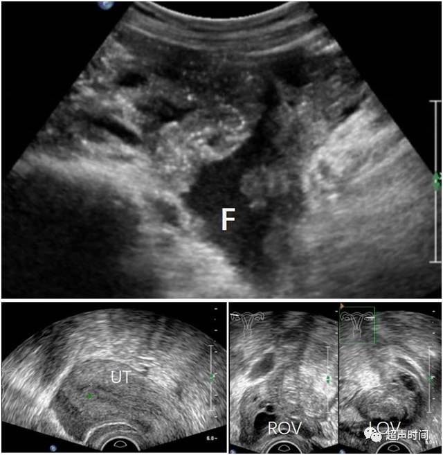
上腹部疼痛,但超声只发现盆腔积液,怎么考虑?
图片尺寸640x657
孕6周有胎心胎芽胎跳但是谢谢陶氏腔积液
图片尺寸780x1040
双胞胎
图片尺寸1080x1174
胸腔积液
图片尺寸588x800
推荐回答 病情分析: 你好,从超声报告看陶氏腔积液就是盆腔积液
图片尺寸816x460
陶氏腔可见范围约35×16mm的无回声暗区是什么意思?
图片尺寸768x1024