韦尼克脑病

神经影像:韦尼克脑病在 swi 上的特征表现
图片尺寸640x919
wernicke脑病mri表现
图片尺寸860x454
韦尼克脑病ppt课件
图片尺寸1200x5355
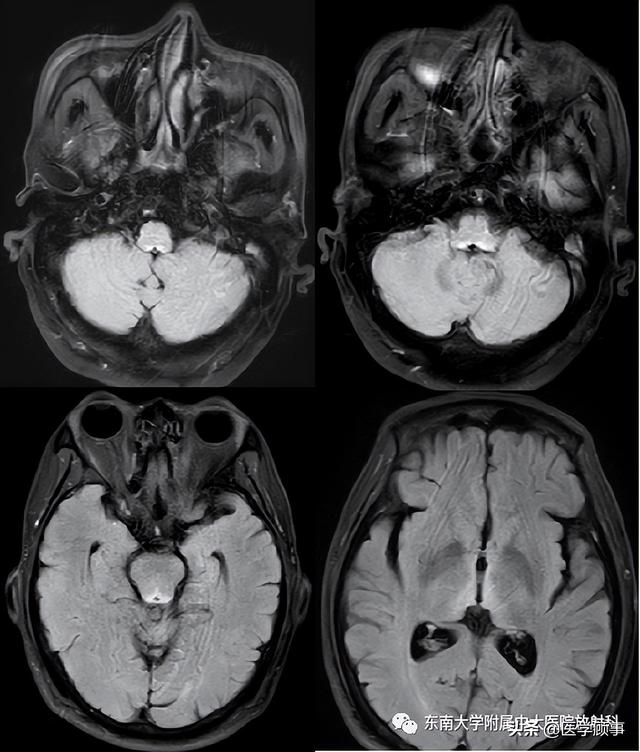
常志强: 跟韦尼克脑病 赵春杨: 雪橇征 孑孓: @赵春杨桂林市人民医院
图片尺寸1080x1893
韦尼克脑病ppt
图片尺寸1080x810
wernicke脑病mri表现
图片尺寸887x500
22岁男性,步态混乱,言语迟缓(答案公布)
图片尺寸583x415
脊髓血管畸形颅内肿瘤韦尼克脑病丨3分钟读片6124期
图片尺寸600x328
脊髓血管畸形,颅内肿瘤,韦尼克脑病丨3分钟读片24期
图片尺寸669x345
结果 1脑萎缩 2韦尼克脑病 3mbd 4epm 5肝性脑病 6高氨血症 最后一个
图片尺寸571x630
紫色区域标出的是布罗卡区,它主管人的说话;绿色区域标出的是韦尼克区
图片尺寸660x605
wernicke脑病的mri表现ppt
图片尺寸1080x810
韦尼克失语症(wernicke aphasia)
图片尺寸960x600
名称故事丨韦尼克脑病_澎湃号·湃客_澎湃新闻-the paper
图片尺寸1080x9718
韦尼克脑病
图片尺寸460x276
wernicke脑病的影像特点
图片尺寸640x708
脊髓血管畸形颅内肿瘤韦尼克脑病丨3分钟读片24期
图片尺寸608x331
【影像基础】这个并不少见—韦尼克脑病的影像诊断
图片尺寸1080x810
韦尼克脑病ppt
图片尺寸1080x810
wernicke脑病的影像特点
图片尺寸640x752