项韧带骨化

小科普【颈椎后纵韧带骨化症】 - 好大夫在线
图片尺寸1277x1241
影像报告解读:项韧带钙化x线表现分享!
图片尺寸1024x576
怀疑颈椎病去医院拍片,发现后方项韧带钙化,有什么意义?
图片尺寸864x486
带您了解下—项韧带钙化!
图片尺寸640x853
基础学习丨项韧带钙化
图片尺寸640x426
正常情况的x光片看不出来韧带,但是患者韧带钙化如骨头一般,所以可以
图片尺寸600x420
一直误认为是项韧带钙化._解剖_颈部_原文
图片尺寸391x630
典型病例颈椎后纵韧带钙化mr
图片尺寸483x578
颈椎后纵韧带骨化症
图片尺寸2736x3648
典型病例颈椎后纵韧带钙化mr
图片尺寸502x621
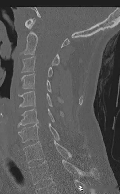
颈椎后纵韧带骨化一例
图片尺寸3456x4608
颈椎后纵韧带钙化典型病例 - 好大夫在线
图片尺寸2536x3744
总之,项韧带骨化是容易被忽视的x线征象,对诊断颈椎病或颈椎opll具有
图片尺寸553x355
后纵韧带骨化症opll
图片尺寸640x650
骨质增生和韧带钙化
图片尺寸270x302
当心"不定时炸弹"—颈椎后纵韧带骨化!_患者_症状_治疗
图片尺寸571x311
前纵韧带骨化症
图片尺寸553x308
干货| 针刀治疗韧带损伤篇(颈,腰,膝)
图片尺寸619x372
专题讨论:颈椎后纵韧带骨化
图片尺寸1353x916
寰枢关节稳固性的结构:关节囊,寰枢前膜,寰枢后膜,覆膜,寰椎十字韧带
图片尺寸590x690