预成冠图片

金属预成冠乳牙的保护神
图片尺寸1154x1129
乳磨牙金属预成冠的临床应用 - 好大夫在线
图片尺寸575x494
乳牙预成冠
图片尺寸1080x608
什么是预成冠
图片尺寸1080x3240
牙齿矫正肖家良 的想法: #金属预成冠# 给小朋友装上小金刚
图片尺寸1061x1502
乳磨牙牙金属预成冠_龋齿_治疗介绍_治疗方式 - 好大夫在线
图片尺寸1620x2430
乳牙预成冠_影响_冠会_恒牙
图片尺寸650x793
乳磨牙金属预成冠一例
图片尺寸548x708
透明冠预成冠
图片尺寸2160x2160
乳牙预成冠
图片尺寸381x529
深又大,做完根管治疗后,只是补牙就不太适用了,而需要做乳牙的预成冠
图片尺寸530x323
透明冠预成冠
图片尺寸2160x2160
韩国新兴 儿童乳牙金属预成冠/乳牙冠 补充装 10*1
图片尺寸1920x1920
乳磨牙预成冠 - 好大夫在线
图片尺寸1920x1080
儿童补牙戴金属牙冠好不好预成冠容易掉吗优缺点解析
图片尺寸500x309
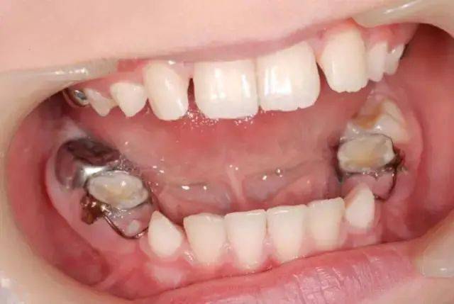
小心毁了孩子的一口好牙!
图片尺寸640x429
哈医大四院儿童口腔科专家:预成冠——儿童乳牙的"保护伞"
图片尺寸507x425
分享一个6岁宝宝牙金属预成冠修复案例
图片尺寸800x800
"预成冠"成功修复满口烂牙 4岁女孩重展笑颜
图片尺寸576x382
国外使用的儿童预成冠
图片尺寸500x304