颅内钙化

图解:颅内出现这 7 个部位的钙化属正常
图片尺寸556x604
颅内生理性钙化不要紧这6种情况要注意
图片尺寸640x354
萌妹子课堂颅内钙化知多少生理篇
图片尺寸763x863![颅内钙化灶,请各位老师分析 [病例帖]](https://i.ecywang.com/upload/1/img1.baidu.com/it/u=2420246682,1731625147&fm=253&fmt=auto&app=138&f=JPEG?w=500&h=667)
颅内钙化灶,请各位老师分析 [病例帖]
图片尺寸3456x4608
sle合并颅内钙化的临床表现多样,常见表现依次为癫痫(41% - 抖音
图片尺寸800x963
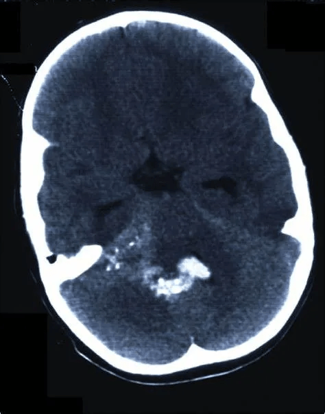
【影像讨论】头颅ct颅内钙化灶
图片尺寸3264x2448
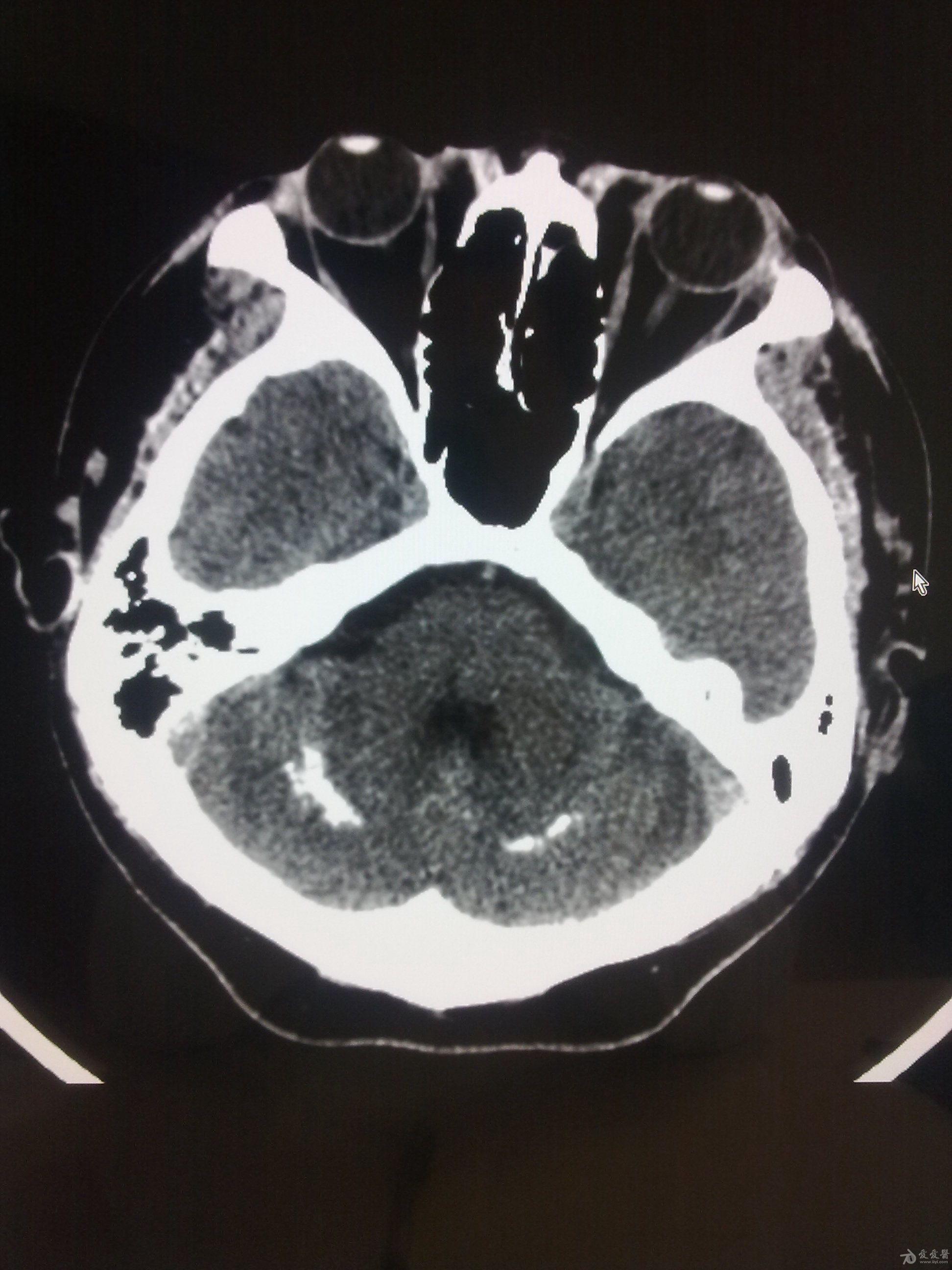
【求助】颅内多发性钙化灶,请求各位专家看看!请求加分!
图片尺寸512x512
这样的颅内钙化见一次就终身难忘
图片尺寸800x800
萌妹子课堂颅内钙化知多少生理篇
图片尺寸906x1006
脑膜瘤钙化
图片尺寸3072x4096
萌妹子课堂颅内钙化知多少生理篇
图片尺寸1001x1183
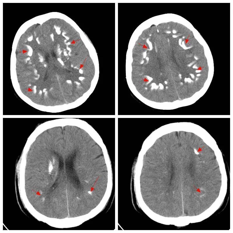
看了那么多颅内钙化这些鉴别套路你可知晓
图片尺寸775x492
脑部多发钙化斑
图片尺寸1200x907
(一)——生理&遗传性&感染性&血管性疾病篇_颅内钙化_ct表现_医脉通
图片尺寸437x473
神经影像:颅内钙化之病理篇丨实战读片
图片尺寸856x440
图解颅内出现这7个部位的钙化属正常
图片尺寸462x502
34种颅内可以钙化的病变汇总
图片尺寸472x561
看了那么多颅内钙化,这些鉴别「套路」你可知晓?
图片尺寸474x604
病例23颅内多发对称钙化甲状旁腺功能低下
图片尺寸1944x2592
看了那么多颅内钙化,这些鉴别「套路」你可知晓?
图片尺寸832x624