颅骨骨膜窦

硬脑膜窦 dural sinuses
图片尺寸1080x810
2012外科主治医师颅骨损伤考试考点2
图片尺寸368x384
颅骨解剖ppt
图片尺寸1080x810
(图) 硬脑膜窦体表投影
图片尺寸1576x1224
鼻源性头痛鼻窦对应疼痛部位
图片尺寸1320x1092
硬脑膜窦图
图片尺寸596x500
海绵窦的解剖
图片尺寸792x650
硬脑膜窦
图片尺寸1080x810
sinuses of duramater 硬脑膜窦 superior sagittal sinus 上矢状窦
图片尺寸1080x810
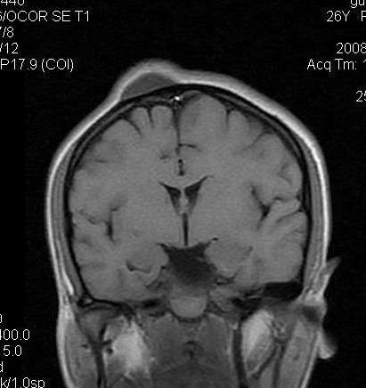
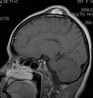
脑膜瘤
图片尺寸800x1000
颅骨骨膜窦:术中所见颅骨多发筛孔,可见异常血管团ct表现为颅板外头皮
图片尺寸411x436
从中线切开的头颅,在蝶窦的上面是颅前窝的底和蝶鞍,在它的后面是枕骨
图片尺寸909x742
颅骨骨膜窦:术中所见颅骨多发筛孔,可见异常血管团ct表现为颅板外头皮
图片尺寸398x413
正常头颅ct与mri图解ppt
图片尺寸1080x810
影像诊断学3中枢ppt 影像诊断学3中枢 第五篇 中 枢 垂直板 额 窦 筛
图片尺寸1080x810
颅骨骨膜窦:术中所见颅骨多发筛孔,可见异常血管团ct表现为颅板外头皮
图片尺寸395x416
三,鼻旁窦 额窦 上颌窦 4对 筛窦:前中群 蝶窦:开口于蝶筛隐窝 额窦
图片尺寸1080x810
头颅摄影技术ppt
图片尺寸1080x810
硬脑膜静脉窦的解剖
图片尺寸400x358
颅骨骨膜窦
图片尺寸312x234