颈干角测量

测量自己脊椎弯曲度数!
图片尺寸640x1135
正常值在110-140°之间,男性平均为132°,女性平均为127°,颈干角随
图片尺寸960x633
股骨颈干角测量
图片尺寸2229x2000
测量颈围,预测患糖尿病风险1
图片尺寸500x282
93最决定优雅度的一个曲线0606就是颈部,对于相大多数的亚洲人
图片尺寸1080x1296
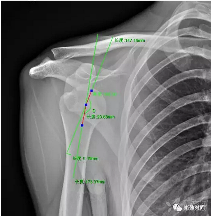
切换新版 >> 不再显示 × 肩关节间隙 4 mm 肱骨颈干角 肱骨干中线
图片尺寸678x694
2) 剪切力(shear load):股骨头有颈干角和前倾角,重力由髋臼通过股
图片尺寸691x632
x线正位片上股骨颈干角及股骨颈长度的测量结果可信吗?
图片尺寸392x404
髋关节活动角度;股骨颈干角;联合前倾角;股骨颈前倾角(扭转角);髋臼杯
图片尺寸640x528
1,肩关节活动角度;2,肱骨颈干角;3,肱骨头后倾角;4,肱骨远端前倾角;5
图片尺寸539x426
正位:股骨颈干角:120°~130°;股骨两髁最下缘直线与股骨干的轴线成角
图片尺寸549x513
骨关节画线及测量,简单易懂不看后悔(建议收藏)|股骨|股骨颈|跟骨
图片尺寸630x747
颈干角125~135 °
图片尺寸1080x810
针刀治疗骨头坏死定点及操作精要
图片尺寸882x427
在男性成125°角,女性约110°角, 这称为倾斜角度(颈干角)
图片尺寸500x269
需进行脊柱站立后前位x线片检查,然后由专业医生测量cobb角度,cobb角
图片尺寸1076x872
股骨颈干角测量
图片尺寸1950x2003
1,肩关节活动角度;2,肱骨颈干角;3,肱骨头后倾角;4,肱骨远端前倾角;5
图片尺寸692x386
向尺侧20~25—尺倾角94股骨颈长轴线与股骨干纵轴线之间110~14
图片尺寸1080x809
各家的髓内钉颈干角也不相同:事实上每个人颈干角不同:辛迪思推出pfna
图片尺寸999x1160