颌下腺超声图

颌下腺解剖及正常超声表现
图片尺寸975x686
病人颌下肿物3天就诊超声所见:左侧颌下腺体积增大,导管内径4.
图片尺寸4032x3024
颈部超声解剖图解颏下篇
图片尺寸1080x816
颌下腺解剖及正常超声表现
图片尺寸927x678
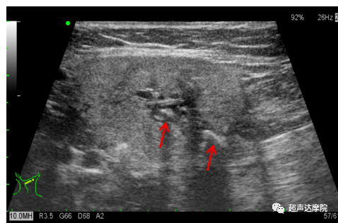
右侧颌下腺导管结石声像图 - 超声医学讨论版 - 爱爱医医学论坛
图片尺寸640x447
颌下腺导管结石的超声诊断
图片尺寸672x438
颌下腺解剖及正常超声表现
图片尺寸938x691
颌下腺肿大一例. - 超声医学讨论版 - 爱爱医医学论坛
图片尺寸768x576
颌下腺肿大一例. - 超声医学讨论版 - 爱爱医医学论坛
图片尺寸768x576
颌下腺导管结石的超声诊断
图片尺寸565x354
颌下腺解剖及正常超声表现
图片尺寸939x708
颌下腺导管结石的超声诊断
图片尺寸478x316
颌下腺多形性腺瘤#超声影像 - 抖音
图片尺寸3072x1611
颌下腺炎? - 超声医学讨论版 - 爱爱医医学论坛
图片尺寸2048x1536
请教下颌下腺这个是淋巴结肿大吗
图片尺寸768x576
颌下腺低回声占位病变 - 超声医学讨论版 - 爱爱医医学论坛
图片尺寸768x576
颌下腺炎? - 超声医学讨论版 - 爱爱医医学论坛
图片尺寸2048x1536
左侧颌下腺低回声占位,作何诊断?
图片尺寸800x564
颌下腺实质性肿块 - 超声医学讨论版 -丁香园论坛
图片尺寸888x666
颌下肿块要当心颌下腺肿瘤
图片尺寸525x301