颌骨拍片
![【读片】上颌骨ct.20070705 [病例帖]](https://i.ecywang.com/upload/1/img1.baidu.com/it/u=3159536190,1817907357&fm=253&fmt=auto&app=138&f=JPEG?w=500&h=1085)
【读片】上颌骨ct.20070705 [病例帖]
图片尺寸567x1230
下颌角手术 术前有哪些准备工作?
图片尺寸2204x2764
下颌骨骨折,也称为颌骨骨折,是通过下颌骨骨折.
图片尺寸1179x1100
知乎
图片尺寸1134x806
57岁,牙痛拍片发现左下颌骨囊肿1月 患者1月前牙痛就诊, - 抖音
图片尺寸1080x2340
23岁骨性地包天 去医院拍了片做了牙模 医生说很难
图片尺寸720x540
下颌骨骨折术后,我还是那个貌美如花的我吗?
图片尺寸1440x1080
需要正颌吗?(内附侧面照及x光)
图片尺寸1080x1440
颔怎么读(颔怎么读组词)
图片尺寸1430x1140
我发了拍片,不知道为什么没显示出来,不好意思医生解答:没有图片,没有
图片尺寸720x960
我这种脸型是颧骨不对称,下颌角大小也_新氧-专业医美服务平台
图片尺寸4032x3024
人颌骨轮廓x线
图片尺寸700x762
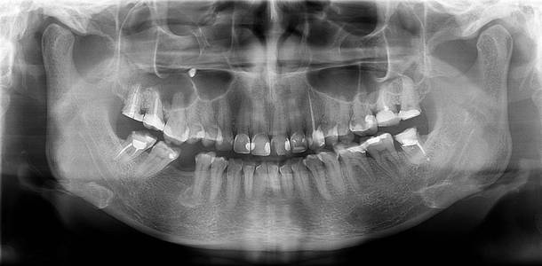
"聪明可靠"的口腔全景ct来喽!赶紧上车来"瞧瞧"
图片尺寸1021x627
颞下颌关节脱位的治疗选择
图片尺寸592x600
男23岁那年下颌骨骨折(右边),做了钢钉固定手术(术
图片尺寸1200x1600
这是阴天图片
图片尺寸610x300
这是坏了图片
图片尺寸610x300
单纯联合骨折(下颌骨骨折)
图片尺寸1200x900
正畸医生主要通过头颅定位片来观察颅骨,颌骨的长,宽
图片尺寸2541x2001
术前拍片面部骨骼所存在的诸多问题
图片尺寸568x571