颏下囊肿图片

下颌下区肿物,是何原因?
图片尺寸196x177
颏下直径3mm引流管引流管拔出后
图片尺寸4608x3456
颏下皮样囊肿切除术
图片尺寸300x282
如甲状腺舌管囊肿,胸腺咽管囊肿,囊状淋巴管瘤,颏下皮样囊肿等
图片尺寸400x300
颏下皮样瘤切除术_手术,颈部囊肿,瘘管手术,普通外科手术,颈部手术
图片尺寸266x378
颏下皮样囊肿切除术
图片尺寸300x249
颏下逆行带蒂岛状皮瓣的应用解剖研究进展
图片尺寸600x450
显露囊肿 按切口设计切开皮肤,皮下组织和颈阔肌,将皮瓣上下牵开,上界
图片尺寸300x217
颏下皮样瘤切除术_手术,颈部囊肿,瘘管手术,普通外科手术,颈部手术
图片尺寸300x298
未出现感染的表现:临床表现为于颏下至胸骨上切迹之间的颈中线或是稍
图片尺寸293x290
麻下颏下切口行囊肿摘除术.
图片尺寸1518x2145
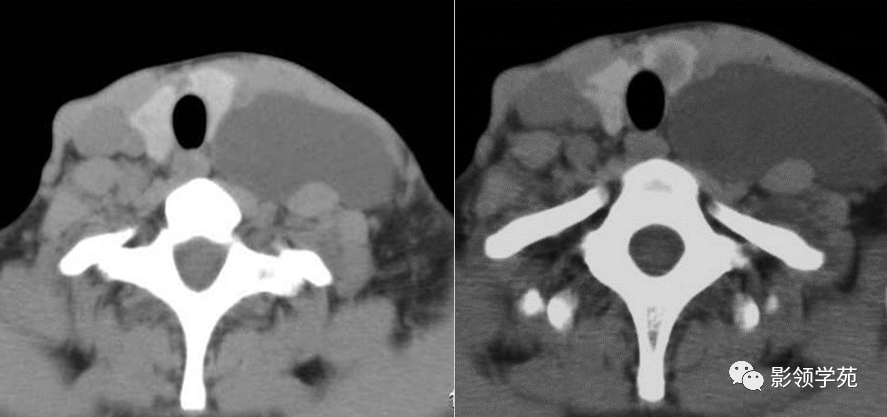
皮样囊肿:临床特征:舌骨中线缓慢生长肿块,质软,与皮肤不粘连.
图片尺寸887x417
颏下皮样囊肿的患者,会有无痛肿块,症状无意识,多采用手术治疗_检查
图片尺寸1843x1092
颏下皮样囊肿的患者会有无痛肿块症状无意识多采用手术治疗
图片尺寸660x440
颏下皮样囊肿的患者,会有无痛肿块,症状无意识,多采用手术治疗_检查
图片尺寸921x614
其它 住院记 写美篇超生提示:颏下区囊性病灶 颏下区可见2.6╳0.
图片尺寸2000x2667
颏下岛状皮瓣在口腔颌面部肿瘤切除后软组织缺损修复中的应用
图片尺寸1398x2078
总结臂丛神经根功能评估
图片尺寸827x791
儿童甲状舌管囊肿手术颏下横切口的应用
图片尺寸410x254