骨关节炎x线

第一张图片是前内侧骨关节炎骨磨骨阶段,如果膝关节疼痛,拍x线 - 抖音
图片尺寸1440x1920
双膝前内侧骨关节炎(右侧重)2.慢性滑膜炎.
图片尺寸1824x1722
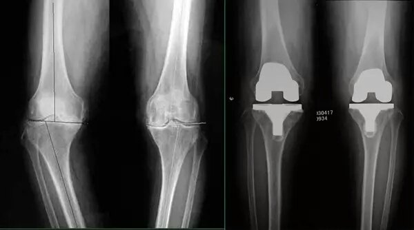
膝关节骨性关节炎行关节置换术
图片尺寸3120x4160
双膝骨性关节炎
图片尺寸2667x2000
双侧膝关节骨性关节炎
图片尺寸2667x2000
双膝骨性关节炎,屈曲内翻畸形.(膝关节表面置换术) - 好大夫在线
图片尺寸1685x3893
骨关节炎,x光片,侧面视角,膝,老年人
图片尺寸1100x1156
骨关节炎是什么
图片尺寸600x334
双侧膝关节骨性关节炎(姐妹篇)
图片尺寸2000x2667![双膝骨性关节炎一期膝关节表面置换 [病例帖]](https://i.ecywang.com/upload/1/img2.baidu.com/it/u=1456061247,3873686814&fm=253&fmt=auto&app=138&f=JPEG?w=500&h=667)
双膝骨性关节炎一期膝关节表面置换 [病例帖]
图片尺寸2448x3264
膝关节的x线检查有助于判断是否患上膝关节骨性关节炎,是首选的最简单
图片尺寸679x670
关节炎的x线评价
图片尺寸1080x719
75岁膝关节骨性关节炎单髁置换手术一例
图片尺寸2666x3521
适用于严重的骨性关节炎,类风湿性关节炎的病人,术后患者恢复快,患者
图片尺寸600x410
膝骨性关节炎的分期治疗ppt
图片尺寸1080x810
弧刃针标准疗法治疗膝骨关节炎重度一例典型病例分享
图片尺寸960x1280
膝,x光,关节,骨关节炎,影片
图片尺寸1200x897
前郭县中医院骨科对膝关节骨性关节炎关节镜微创手术治疗病例
图片尺寸1734x1200
x线是明确诊断的金标准,是诊断的必须条件;磁共振检查可以观察关节内
图片尺寸1134x930
严重的骨关节炎只能选择"坐轮椅"或长期吃药吗? - 好大夫在线
图片尺寸852x1136