骨折愈合

术后3个月,骨折愈合了
图片尺寸2000x2667
闭合复位mipo接骨板技术内固定术,术后一年骨折完全愈合去内固定
图片尺寸2000x2717
医学生动画演绎 病理学考点 骨折的愈合过程
图片尺寸987x617
影响骨折愈合的因素_骨折_病因_发病原因 - 好大夫在线
图片尺寸1568x740![骨折术后半年,复查片[局部愈合不佳]骨折术后半年,复查片[局 - 抖音](https://i.ecywang.com/upload/1/img0.baidu.com/it/u=658360556,1130679522&fm=253&fmt=auto&app=138&f=JPEG?w=800&h=1567)
骨折术后半年,复查片[局部愈合不佳]骨折术后半年,复查片[局 - 抖音
图片尺寸1080x2116
骨折错位愈合
图片尺寸640x1138
【骨折延迟愈合的治疗方法】 骨折不愈合或骨折延迟愈合的方法主要有
图片尺寸2147x1280
骨折愈合过程
图片尺寸1200x824
完整记录一个骨折(股骨)的愈合过程(附x片)
图片尺寸762x1387
13岁男孩,骨折已4月 尚未愈合
图片尺寸3168x4224
术后一年半骨折愈合良好
图片尺寸750x1000
见过碎的但没见过这么碎的骨折
图片尺寸1080x1080
三亚市中医院骨一科之警示篇:股骨干合并颈骨折
图片尺寸1221x613
脚踝骨折近一年的恢复情况
图片尺寸1280x1707
儿童骨折的愈合过程 - 好大夫在线
图片尺寸2412x1813
一例多发骨折合并休克的分期治疗体会
图片尺寸1600x1200
踝关节骨折术后畸形愈合翻修术
图片尺寸1600x1200
陈旧性pilon骨折病例的手术治疗
图片尺寸985x1314
右内踝骨折请帮忙看下片子术后愈合的情况
图片尺寸1536x2048
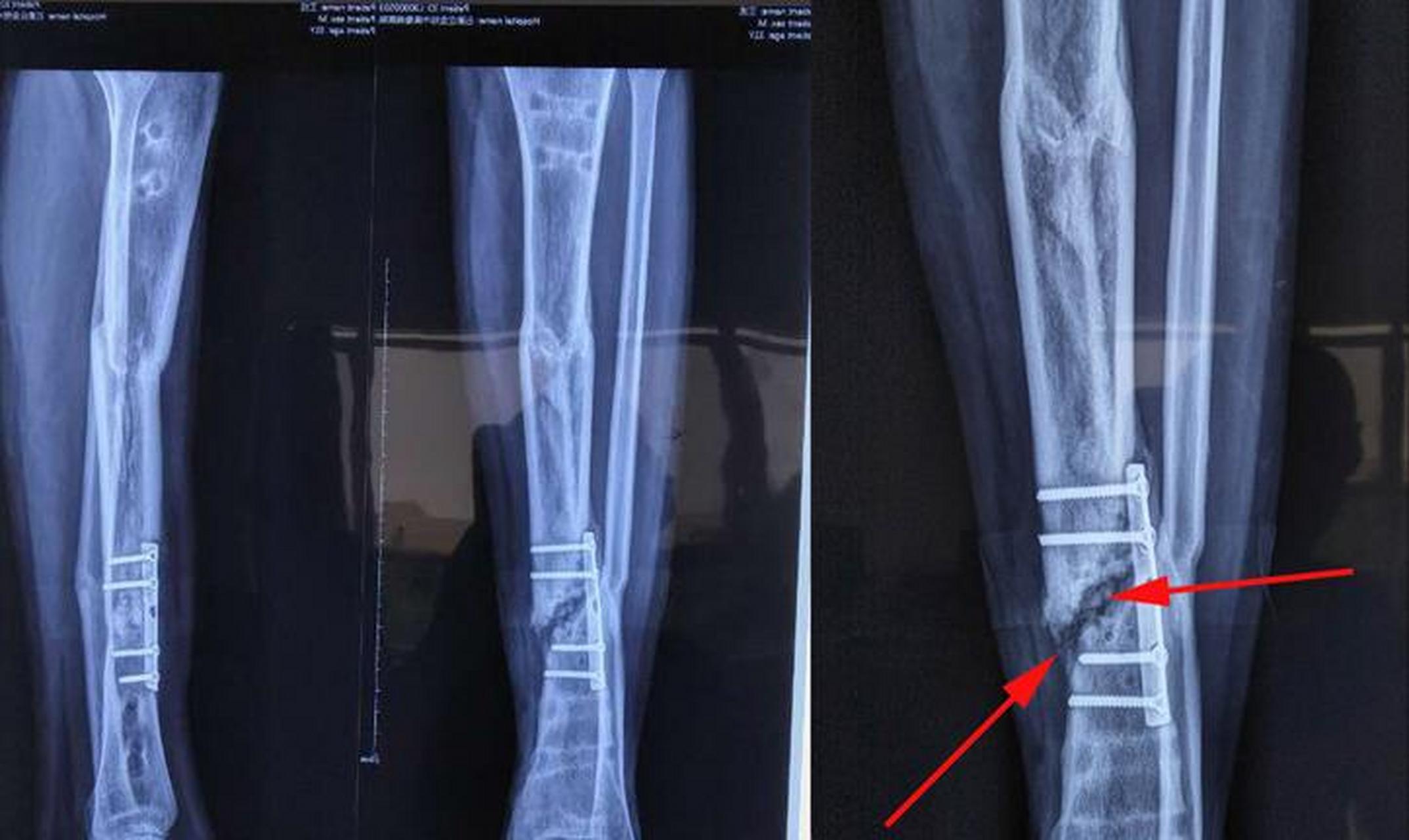
胫腓骨多断骨折带锁钉固定愈合后取固定
图片尺寸2736x3648