骨梗死图片

骨梗死影像表现
图片尺寸960x720
骨梗死?
图片尺寸730x654
骨梗死影像表现
图片尺寸960x720
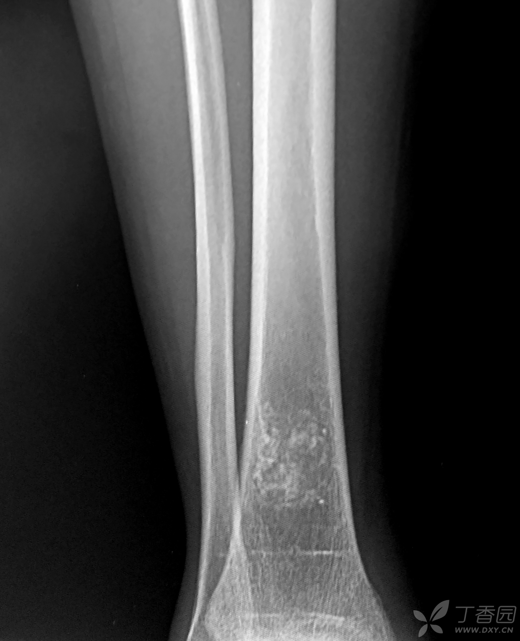
胫端下端骨质异常大家讨论骨梗死
图片尺寸976x808
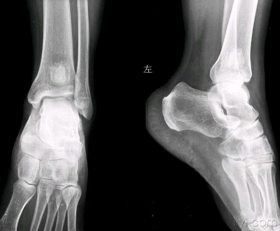
骨梗死的x片,比较少见哦
图片尺寸2576x1932
骨梗死影像表现
图片尺寸960x720
丁香园论坛
图片尺寸1715x2112
骨梗死影像表现
图片尺寸960x720
骨梗死
图片尺寸2667x2000
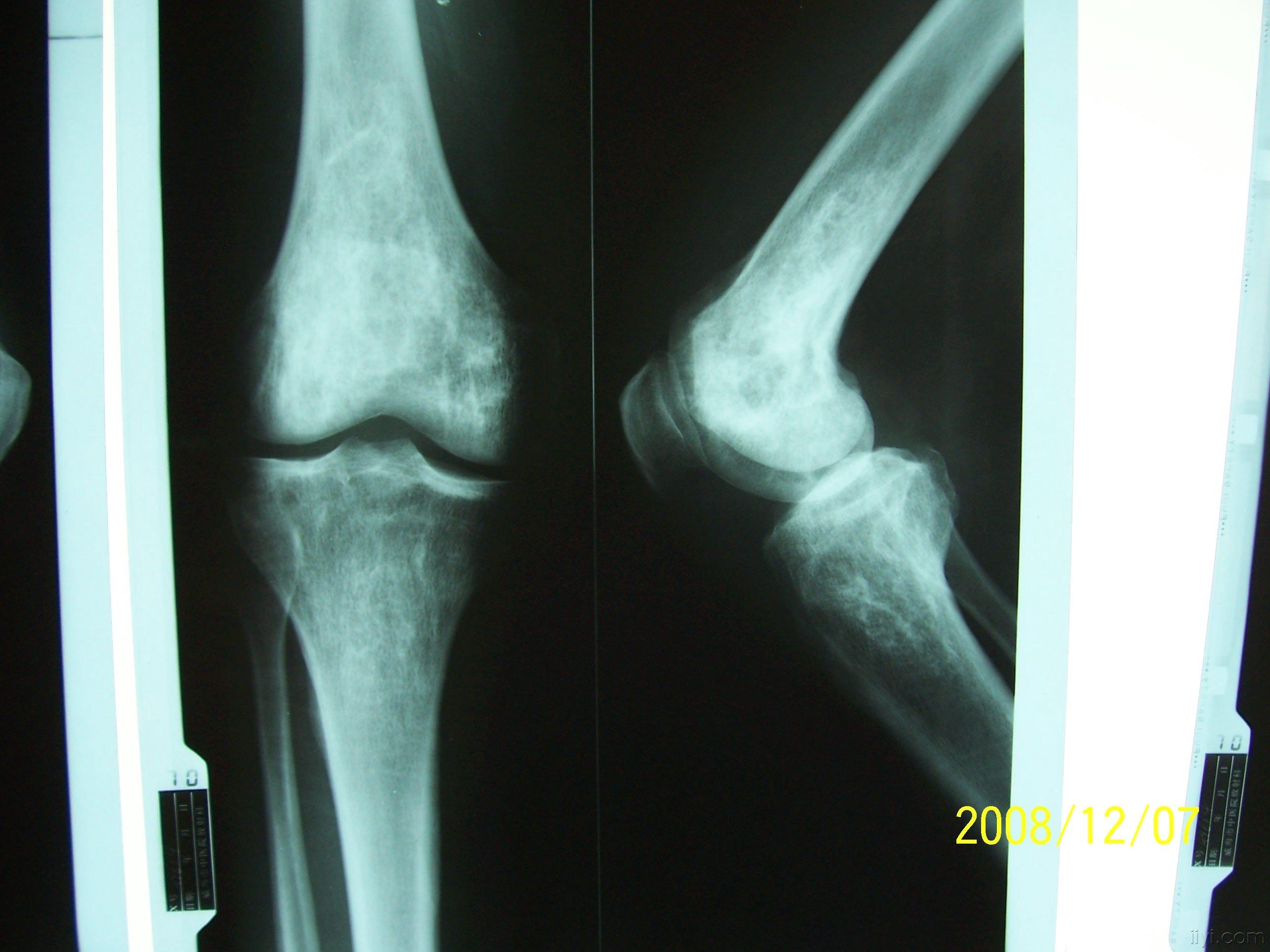
膝关节oa并骨梗死,行tka,加延长杆
图片尺寸1199x1599
骨梗死
图片尺寸794x446
骨梗死
图片尺寸1024x1280
这是骨梗死吗
图片尺寸1500x2000
骨梗死的x片,比较少见哦
图片尺寸2576x1932
【讨论】骨梗死,剥脱性骨软骨炎
图片尺寸1513x2222
激素相关的骨梗死请大量应用激素的朋友了解下磁共振能发现
图片尺寸1080x1920
骨梗死
图片尺寸1728x2304
骨梗死早期影像学表现1例
图片尺寸284x281
长期接受激素治疗需警惕膝关节骨坏死
图片尺寸817x1042
请大家看一下这个病骨梗死急
图片尺寸320x480