骨髓炎x线
![20多年慢性骨髓炎,求助 [病例帖]](https://i.ecywang.com/upload/1/img2.baidu.com/it/u=3637985780,816968860&fm=253&fmt=auto&app=138&f=JPEG?w=500&h=889)
20多年慢性骨髓炎,求助 [病例帖]
图片尺寸2368x4208
左胫骨近段 急性骨髓炎病例.包秀气 男.9岁
图片尺寸1199x1599
慢性骨髓炎
图片尺寸1552x2592
慢性骨髓炎伴骨外漏
图片尺寸2816x2112
慢性骨髓炎讨论
图片尺寸2000x2667![胫骨骨髓炎陈旧骨折如何治疗? [病例帖]](https://i.ecywang.com/upload/1/img2.baidu.com/it/u=1298265025,1237711223&fm=253&fmt=auto&app=138&f=JPEG?w=500&h=575)
胫骨骨髓炎陈旧骨折如何治疗? [病例帖]
图片尺寸3156x3632
第八章骨骼与软组织第四节骨感染一化脓性骨髓炎丨精品连载
图片尺寸832x1008
论坛
图片尺寸2368x4208
这一例胫骨慢性骨髓炎大家有啥好建议
图片尺寸1536x2048
下肢骨髓炎患者,下肢痛,行下肢骨水泥植入治疗 - 好大夫在线
图片尺寸4032x3024
急性化脓性骨髓炎 - 好大夫在线
图片尺寸4128x3096
慢性骨髓炎图解
图片尺寸758x505
入院时右足部x线片,提示有足拇趾骨髓炎感染严重,可见骨髓泥以及内
图片尺寸2000x2666
左胫骨近段 急性骨髓炎病例.包秀气 男.9岁
图片尺寸1199x1599
骨化脓性骨髓炎的影像学诊断
图片尺寸960x720
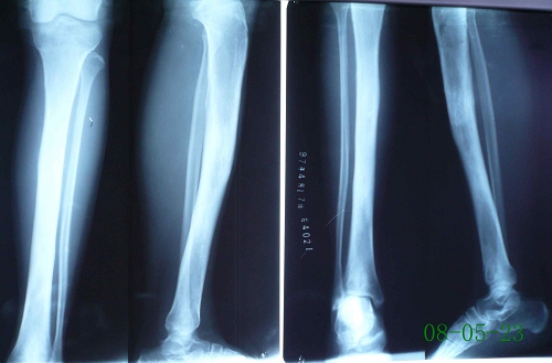
pd_黄芳-右胫骨慢性硬化性骨髓炎-治疗前后对比
图片尺寸500x329
左胫骨慢性骨髓炎
图片尺寸1536x2048
骨化脓性骨髓炎的影像学诊断
图片尺寸960x720
股骨慢性骨髓炎的治疗
图片尺寸1651x2361
骨化脓性骨髓炎的影像学诊断
图片尺寸960x720